Bolące i krwawiące dziąsła to niestety częsta dolegliwość, z którą mierzy się wiele przyszłych mam. Zmiany zachodzące w organizmie kobiety w ciąży mogą sprawić, że jama ustna staje się bardziej wrażliwa i podatna na stany zapalne. Wiem, że w tym wyjątkowym czasie każda dolegliwość budzi niepokój, dlatego przygotowałam ten kompleksowy poradnik. Znajdziesz w nim bezpieczne i skuteczne rozwiązania, które pomogą Ci odzyskać komfort i spokój.
Skuteczne i bezpieczne sposoby na bolące dziąsła w ciąży kompleksowy poradnik dla przyszłych mam
- Główną przyczyną bólu dziąseł w ciąży są zmiany hormonalne, które zwiększają ich wrażliwość i podatność na stany zapalne.
- Bezpieczne domowe metody łagodzenia bólu to płukanki ziołowe (szałwia, rumianek, kora dębu) oraz solne, a także zimne okłady.
- Z apteki można bezpiecznie stosować wybrane żele i maści stomatologiczne przeznaczone dla kobiet w ciąży lub niemowląt, a doraźnie paracetamol.
- Kluczowa jest codzienna, dokładna higiena jamy ustnej, w tym używanie miękkiej szczoteczki, pasty z fluorem i nici dentystycznej.
- Regularne wizyty u stomatologa w ciąży (min. dwie) oraz profesjonalne czyszczenie zębów (skaling) są bezpieczne i zalecane.
- Nieleczone stany zapalne dziąseł mogą prowadzić do poważniejszych chorób przyzębia i wpływać na przebieg ciąży, zwiększając ryzyko przedwczesnego porodu.
Dlaczego dziąsła w ciąży stają się wrażliwe? Poznaj przyczyny
Wiele kobiet w ciąży doświadcza zwiększonej wrażliwości dziąseł, a nawet ich krwawienia. To bardzo powszechny problem, dotykający od 35% do nawet 75% przyszłych mam. Głównym winowajcą są tutaj zmiany hormonalne, które w tym czasie zachodzą w Twoim organizmie. Największe nasilenie objawów obserwuje się zazwyczaj między 14. a 30. tygodniem ciąży, czyli w drugim i trzecim trymestrze. Rozumiejąc te mechanizmy, łatwiej będzie Ci podjąć odpowiednie kroki, by ulżyć sobie w dolegliwościach.
Hormonalna burza w Twojej jamie ustnej: jak progesteron i estrogen wpływają na dziąsła
Wzrost poziomu progesteronu i estrogenów w ciąży ma ogromny wpływ na cały organizm, w tym na tkanki jamy ustnej. Hormony te powodują rozszerzenie naczyń krwionośnych w dziąsłach, co sprawia, że stają się one bardziej przekrwione, rozpulchnione i obrzęknięte. Zwiększa się również ich przepuszczalność, co ułatwia bakteriom wnikanie i wywoływanie stanów zapalnych. To właśnie dlatego dziąsła stają się tak delikatne i podatne na krwawienie nawet przy delikatnym szczotkowaniu.
To nie tylko hormony: inne czynniki zwiększające ryzyko bólu
Chociaż hormony odgrywają kluczową rolę, nie są jedynym czynnikiem wpływającym na zdrowie dziąseł w ciąży. Istnieją również inne aspekty, które mogą potęgować problem:
- Nudności i wymioty: Częste wymioty, zwłaszcza w pierwszym trymestrze, narażają zęby i dziąsła na działanie kwasu żołądkowego, który osłabia szkliwo i podrażnia tkanki miękkie.
- Zmiany nawyków żywieniowych: Wiele przyszłych mam ma większą ochotę na słodycze i przekąski między posiłkami. Cukry są idealną pożywką dla bakterii, co sprzyja rozwojowi płytki nazębnej i stanów zapalnych.
- Zmniejszone stężenie wapnia: Choć rzadziej, niedobory wapnia (który jest intensywnie wykorzystywany do budowy kości dziecka) mogą pośrednio wpływać na ogólne zdrowie jamy ustnej.
"Ciążowe zapalenie dziąseł": co to jest i dlaczego nie wolno go ignorować?
Ciążowe zapalenie dziąseł to termin określający stan zapalny dziąseł, który jest bezpośrednio związany ze zmianami hormonalnymi w ciąży i często pogarszany przez niedostateczną higienę jamy ustnej. Objawia się zaczerwienieniem, obrzękiem i krwawieniem dziąseł. Nigdy nie należy ignorować tych objawów, ponieważ nieleczone zapalenie dziąseł może prowadzić do poważniejszych problemów, takich jak zapalenie przyzębia, a nawet mieć wpływ na przebieg ciąży, o czym opowiem szerzej w dalszej części artykułu.

Jak rozpoznać problem? Niepokojące objawy
Wiedza o tym, jakie objawy powinny wzbudzić Twoją czujność, jest kluczowa. Wczesne rozpoznanie problemu pozwala na szybką interwencję i uniknięcie poważniejszych dolegliwości. Pamiętaj, że nawet niewielkie zmiany mogą być sygnałem, że Twoje dziąsła potrzebują wsparcia.
Czerwona flaga: krwawienie i zaczerwienienie dziąseł
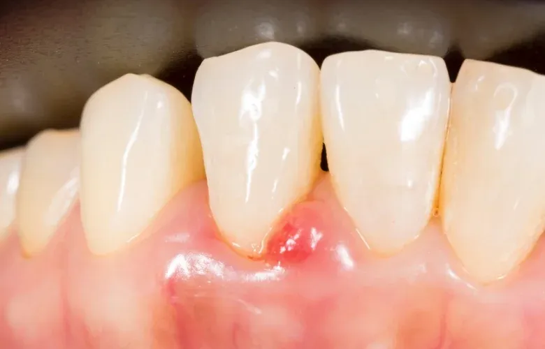
Jednym z najbardziej typowych i niepokojących objawów jest krwawienie dziąseł. Może pojawiać się samoistnie, podczas jedzenia, a najczęściej podczas mycia zębów lub używania nici dentystycznej. Jeśli zauważysz krew na szczoteczce lub w ślinie, to sygnał, że dziąsła są podrażnione. Równie ważnym symptomem jest ich zaczerwienienie zdrowe dziąsła mają bladoróżowy kolor, natomiast te objęte stanem zapalnym stają się intensywnie czerwone.
Opuchlizna i tkliwość kiedy ból staje się codziennością?
Obrzęk, czyli opuchlizna dziąseł, to kolejny częsty objaw. Dziąsła stają się rozpulchnione, a ich brzeg może być wyraźnie powiększony. Towarzyszy temu tkliwość i ból, który może być odczuwalny na co dzień, a nasilać się podczas jedzenia, zwłaszcza twardych pokarmów, oraz podczas szczotkowania. Ten dyskomfort może znacząco wpływać na Twoje samopoczucie i utrudniać utrzymanie prawidłowej higieny.
Co to jest "guz ciążowy" i czy jest się czego bać?
W rzadkich przypadkach, w wyniku silnego stanu zapalnego i zmian hormonalnych, może pojawić się tzw. guz ciążowy (nadziąślak). Jest to łagodna, niebolesna, ale często krwawiąca zmiana w postaci małej narośli na dziąśle. Chociaż nazwa brzmi niepokojąco, chcę Cię uspokoić jest to zazwyczaj zmiana niezłośliwa, która w większości przypadków ustępuje samoistnie po porodzie. Niemniej jednak, zawsze wymaga konsultacji ze stomatologiem, aby wykluczyć inne przyczyny i w razie potrzeby podjąć decyzję o jej usunięciu, jeśli przeszkadza w jedzeniu czy mówieniu.

SOS dla bolących dziąseł: bezpieczne sposoby na ulgę
Kiedy dziąsła bolą, naturalne jest poszukiwanie szybkiej i bezpiecznej ulgi. Na szczęście istnieje wiele sprawdzonych metod, które możesz zastosować w domu lub znaleźć w aptece, aby złagodzić dolegliwości. Pamiętaj jednak, że każdą nową metodę czy preparat warto skonsultować z lekarzem lub farmaceutą.
Domowa apteczka przyszłej mamy: które płukanki ziołowe są skuteczne i dozwolone?
Płukanki to doskonały sposób na łagodzenie stanów zapalnych i zmniejszanie bólu. Wiele ziół ma właściwości przeciwzapalne i ściągające, które mogą przynieść ulgę Twoim dziąsłom.
Płukanka z szałwii jak ją przygotować i stosować?
Szałwia jest znana ze swoich właściwości przeciwzapalnych i antyseptycznych. Pamiętaj, aby nie połykać naparu, ponieważ w dużych ilościach może być niewskazany w ciąży.
- Łyżeczkę suszonych liści szałwii zalej szklanką wrzącej wody.
- Zaparz pod przykryciem przez około 10-15 minut.
- Odcedź i poczekaj, aż napar ostygnie do temperatury pokojowej.
- Płucz jamę ustną 2-3 razy dziennie przez około 30 sekund.
Rumianek i kora dębu Twoi sojusznicy w walce z zapaleniem
Rumianek działa łagodząco i przeciwzapalnie. Możesz przygotować z niego płukankę podobnie jak z szałwii zaparzyć łyżeczkę suszu w szklance wody, ostudzić i płukać. Kora dębu ma silne właściwości ściągające i przeciwkrwotoczne, co jest szczególnie pomocne przy krwawiących dziąsłach. Napar przygotowuje się, gotując łyżeczkę kory w szklance wody przez około 5-10 minut, a następnie odcedzając i studząc. Oprócz ziół, bardzo skuteczna jest również płukanka z roztworu soli morskiej łyżeczkę soli rozpuść w szklance ciepłej wody i płucz usta kilka razy dziennie. Sól działa antyseptycznie i pomaga zmniejszyć obrzęk.
Szybka pomoc z apteki: jakie żele i maści możesz bezpiecznie stosować?
W aptece znajdziesz preparaty, które mogą przynieść szybką ulgę. Szukaj żeli i maści stomatologicznych przeznaczonych dla kobiet w ciąży lub niemowląt. Często zawierają one łagodzące składniki, takie jak aloes, rumianek czy kwas hialuronowy. Unikaj produktów z wysokim stężeniem lidokainy; jeśli już, to wybierz te z jej minimalną zawartością, stosowane doraźnie i miejscowo, np. Dentosept A Mini. Zawsze przed zastosowaniem jakiegokolwiek preparatu z apteki skonsultuj się z farmaceutą lub swoim lekarzem prowadzącym ciążę.
Zimne okłady prosty sposób na zmniejszenie obrzęku i bólu
Zimne okłady to prosta, ale skuteczna metoda na zmniejszenie obrzęku i złagodzenie bólu dziąseł. Możesz użyć schłodzonego kompresu żelowego lub owinąć kilka kostek lodu w czystą ściereczkę czy ręcznik. Przykładaj taki okład do policzka, w miejscu, gdzie odczuwasz największy dyskomfort, na około 10-15 minut. Powtarzaj kilka razy dziennie, w miarę potrzeby.
Czy paracetamol jest bezpieczny? Kiedy można sięgnąć po lek przeciwbólowy?
Jeśli ból dziąseł jest bardzo silny i utrudnia codzienne funkcjonowanie, możesz rozważyć zastosowanie leku przeciwbólowego. Paracetamol jest jedynym bezpiecznym lekiem przeciwbólowym do doraźnego stosowania w ciąży na ból zęba lub dziąseł. Pamiętaj, aby przyjmować go w najmniejszej skutecznej dawce i jak najkrócej. Zawsze przestrzegaj zaleceń na ulotce i skonsultuj się z lekarzem, jeśli masz wątpliwości lub ból nie ustępuje.

Klucz do zdrowych dziąseł: codzienna pielęgnacja
Nawet najlepsze doraźne metody nie zastąpią regularnej i prawidłowej higieny jamy ustnej. To właśnie codzienna pielęgnacja jest Twoim najważniejszym sojusznikiem w zapobieganiu i łagodzeniu problemów z dziąsłami w ciąży. Postawienie na odpowiednie nawyki to inwestycja w zdrowie Twoje i Twojego dziecka.
Wybór idealnej szczoteczki i pasty na co zwrócić uwagę w ciąży?
Wybór odpowiednich narzędzi do higieny jest kluczowy. Zdecydowanie polecam miękką szczoteczkę do zębów, która delikatnie, ale skutecznie usunie płytkę nazębną, nie podrażniając wrażliwych dziąseł. Jeśli chodzi o pastę, wybierz tę z fluorem (o stężeniu 1450 ppm), który wzmacnia szkliwo i chroni przed próchnicą. Szczotkuj zęby co najmniej dwa razy dziennie, a najlepiej po każdym posiłku, przez minimum dwie minuty. Bardzo ważna wskazówka dla przyszłych mam cierpiących na nudności: jeśli zdarzy Ci się zwymiotować, przepłucz usta wodą i odczekaj około 30 minut przed umyciem zębów. Kwas żołądkowy zmiękcza szkliwo, a natychmiastowe szczotkowanie może je uszkodzić.
Nić dentystyczna dlaczego teraz jest ważniejsza niż kiedykolwiek?
Używanie nici dentystycznej lub szczoteczek międzyzębowych powinno stać się Twoim codziennym rytuałem. W ciąży, ze względu na rozpulchnienie dziąseł, przestrzenie międzyzębowe są jeszcze bardziej podatne na gromadzenie się resztek jedzenia i płytki bakteryjnej. Codzienne czyszczenie tych przestrzeni jest absolutnie niezbędne do usunięcia bakterii, które są główną przyczyną stanów zapalnych dziąseł. Jeśli masz problem z tradycyjną nicią, spróbuj irygatora lub szczoteczek międzyzębowych są równie skuteczne.
Płyny do płukania ust: które wybrać, a których unikać?
Płyny do płukania ust mogą być dobrym uzupełnieniem higieny, ale wybieraj je rozważnie. Zdecydowanie unikaj płynów zawierających alkohol, który może dodatkowo podrażniać dziąsła i wysuszać błonę śluzową. Szukaj produktów bezalkoholowych, najlepiej z dodatkiem naturalnych wyciągów ziołowych (np. rumianku, szałwii) lub w niskim stężeniu chlorheksydyny, która skutecznie redukuje płytkę bakteryjną. Płyny te pomogą odświeżyć oddech i wspomóc walkę z bakteriami.
Twoja dieta a zdrowie dziąseł: co jeść, by wzmocnić jamę ustną?
Dieta ma ogromny wpływ na zdrowie całego organizmu, w tym jamy ustnej. Przede wszystkim, ogranicz spożycie cukrów są one pożywką dla bakterii odpowiedzialnych za próchnicę i stany zapalne dziąseł. Postaw na zbilansowaną dietę bogatą w warzywa, owoce, produkty pełnoziarniste i białko. Szczególnie ważne są witaminy C i D oraz wapń, które wspierają zdrowie kości i tkanek miękkich. Pamiętaj o piciu dużej ilości wody, która pomaga wypłukiwać resztki jedzenia i neutralizować kwasy.
Wizyta u dentysty w ciąży: kiedy jest konieczna i co warto wiedzieć?
Wiele przyszłych mam obawia się wizyt u stomatologa w ciąży, ale chcę Cię zapewnić, że są one nie tylko bezpieczne, ale często wręcz konieczne dla Twojego zdrowia i zdrowia Twojego dziecka. Regularne kontrole i profesjonalne zabiegi mogą zapobiec poważnym problemom.
Sygnały alarmowe: kiedy niezwłocznie umówić się na wizytę?
Chociaż domowe sposoby i prawidłowa higiena mogą przynieść ulgę, są sytuacje, w których wizyta u dentysty jest absolutnie niezbędna. Nie zwlekaj z umówieniem wizyty, jeśli zauważysz:
- Silny, uporczywy ból dziąseł lub zęba, który nie ustępuje po domowych metodach.
- Pojawienie się ropnia (guzka wypełnionego ropą) w okolicy dziąsła.
- Znaczny obrzęk dziąseł lub policzka.
- Gorączkę towarzyszącą bólowi dziąseł.
- Pojawienie się tzw. guza ciążowego (nadziąślaka), który krwawi lub przeszkadza.
- Rozchwianie zębów.
Czy leczenie stomatologiczne w ciąży jest bezpieczne dla dziecka?
Tak, zdecydowana większość zabiegów stomatologicznych jest bezpieczna w ciąży. Najbezpieczniejszym okresem na leczenie jest drugi trymestr, ale w przypadku nagłych dolegliwości interwencja jest możliwa w każdym momencie. Stomatolog dobierze odpowiednie, bezpieczne dla Ciebie i dziecka znieczulenie miejscowe, które nie przenika przez łożysko w znaczącym stopniu. Poinformuj dentystę o swojej ciąży, a on dostosuje plan leczenia do Twojego stanu.
Skaling i profesjonalna higienizacja dlaczego warto je wykonać?
Profesjonalne czyszczenie zębów, czyli skaling (usunięcie kamienia nazębnego) i piaskowanie, jest w ciąży nie tylko bezpieczne, ale wręcz wskazane. Nagromadzony kamień nazębny i płytka bakteryjna są głównymi przyczynami stanów zapalnych dziąseł. Usunięcie ich przez higienistkę stomatologiczną znacząco poprawi stan Twoich dziąseł i zmniejszy ryzyko poważniejszych problemów. Najlepszym momentem na wykonanie skalingu jest również drugi trymestr ciąży.
Nieleczony ból dziąseł: konsekwencje dla Ciebie i dziecka
Niestety, ignorowanie problemów z dziąsłami w ciąży może mieć poważne konsekwencje, nie tylko dla Twojego zdrowia jamy ustnej, ale również dla przebiegu ciąży i zdrowia rozwijającego się dziecka. To dlatego tak ważne jest, aby traktować te dolegliwości poważnie i podjąć odpowiednie kroki.
Od zapalenia dziąseł do zapalenia przyzębia: jak poważne to zagrożenie?
Nieleczone, przewlekłe zapalenie dziąseł może przekształcić się w zaawansowane zapalenie przyzębia (paradontozę). Jest to znacznie poważniejsza choroba, która atakuje tkanki utrzymujące ząb w kości, prowadząc do stopniowej utraty kości, rozchwiania, a w konsekwencji nawet utraty zębów. W ciąży, ze względu na zmiany hormonalne, proces ten może postępować szybciej, dlatego tak kluczowa jest szybka reakcja na pierwsze objawy.
Wpływ zdrowia jamy ustnej na przebieg ciąży: co mówią badania?
Coraz więcej badań naukowych wskazuje na związek między zaawansowanymi chorobami przyzębia u matki a ryzykiem przedwczesnego porodu oraz niską masą urodzeniową dziecka. Mechanizm jest złożony, ale uważa się, że bakterie odpowiedzialne za zapalenie dziąseł i przyzębia mogą przedostać się do krwiobiegu matki, a stamtąd do łożyska, wywołując stan zapalny, który może prowadzić do komplikacji ciążowych. To kolejny powód, dla którego dbanie o higienę jamy ustnej w ciąży jest tak niezwykle ważne.
Badania naukowe wskazują na związek między zaawansowanymi chorobami przyzębia u matki a ryzykiem przedwczesnego porodu oraz niską masą urodzeniową dziecka. Bakterie z jamy ustnej mogą przedostać się do krwiobiegu i wpłynąć negatywnie na rozwój ciąży.
Przeczytaj również: Ropa na dziąśle: Przyczyny, objawy i jak ją leczyć?
Jak zadbać o przyszłość: zapobieganie problemom z dziąsłami po porodzie
Chociaż zmiany hormonalne po porodzie ustępują, a wraz z nimi często łagodnieją problemy z dziąsłami, to nie oznacza, że można zaprzestać dbania o higienę. Wręcz przeciwnie! Kontynuowanie prawidłowej pielęgnacji jamy ustnej i regularnych wizyt u stomatologa po porodzie jest równie ważne. Pomoże Ci to utrzymać zdrowie dziąseł, zapobiec nawrotom problemów i cieszyć się pięknym uśmiechem, bez względu na wyzwania macierzyństwa.




