Recesja dziąseł, czyli ich cofanie się, to problem, który dotyka coraz większą liczbę osób. Choć może wydawać się powierzchownym defektem estetycznym, w rzeczywistości stanowi sygnał ostrzegawczy dla całego zdrowia jamy ustnej. W tym artykule przyjrzymy się bliżej temu zjawisku, odpowiadając na kluczowe pytanie: czy dziąsła mogą odrosnąć? Przedstawię również praktyczne rozwiązania, które pomogą zatrzymać ten proces i przywrócić zdrowie Twoim dziąsłom.
Recesja dziąseł: czy tkanka dziąsłowa odrasta i jak można ją odbudować?
- Tkanka dziąsłowa, która uległa zanikowi (recesji), nie ma zdolności do samodzielnej, pełnej regeneracji.
- Proces cofania się dziąseł jest nieodwracalny w warunkach naturalnych i wymaga interwencji.
- Najczęstszymi przyczynami recesji są paradontoza, nieprawidłowa higena jamy ustnej, wady zgryzu, bruksizm oraz czynniki genetyczne.
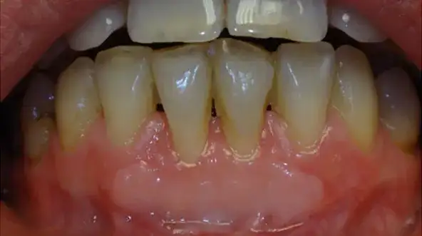
- Wczesne objawy to nadwrażliwość zębów, widoczne wydłużenie koron zębów oraz krwawienie i zaczerwienienie dziąseł.
- Domowe metody skupiają się na prawidłowej higienie i stosowaniu odpowiednich produktów, ale nie odbudowują utraconej tkanki.
- Profesjonalne leczenie obejmuje usunięcie przyczyny (np. leczenie paradontozy) oraz metody chirurgiczne, takie jak przeszczep dziąsła lub pokrycie recesji płatem.
- Profilaktyka, w tym regularne wizyty u stomatologa i zdrowy tryb życia, jest kluczowa w zapobieganiu recesji.
Recesja dziąseł: prawda o zdolności do regeneracji
Czy dziąsła mogą odrosnąć? Odpowiedź eksperta bez owijania w bawełnę
Muszę od razu rozwiać wszelkie wątpliwości: tkanka dziąsłowa, która raz się cofnęła, nie odrasta samoistnie. To fundamentalna kwestia, którą musimy zrozumieć. Proces recesji jest nieodwracalny w naturalnych warunkach. Oznacza to, że jeśli zauważysz u siebie cofające się dziąsła, nie możesz liczyć na to, że z czasem wrócą do pierwotnego stanu bez żadnej interwencji. Jedyną drogą do fizycznego przywrócenia utraconej tkanki są zabiegi chirurgiczne.
Dlaczego naturalna odbudowa dziąseł jest niemożliwa? Zrozumieć biologię jamy ustnej
Specyfika tkanki dziąsłowej sprawia, że nie posiada ona takich zdolności regeneracyjnych, jak na przykład skóra. Dziąsło to tkanka łączna, która ściśle przylega do kości szczęki i żuchwy, otaczając zęby. Mechanizmy gojenia w jamie ustnej są złożone, ale w przypadku utraty tkanki dziąsłowej, organizm nie jest w stanie odtworzyć jej pierwotnej grubości i pozycji w sposób, który zapewniłby pełne pokrycie odsłoniętego korzenia zęba. Uszkodzenia te są zazwyczaj trwałe, chyba że podejmiemy odpowiednie kroki lecznicze.

Dlaczego dziąsła się cofają? Poznaj najczęstszych winowajców
Zanim zaczniemy myśleć o leczeniu, musimy zrozumieć, co jest przyczyną problemu. Zidentyfikowanie i wyeliminowanie czynników wywołujących recesję jest kluczowe dla zatrzymania postępu choroby i zapobiegania dalszym uszkodzeniom.
- Paradontoza (zapalenie przyzębia): To zdecydowanie najczęstsza przyczyna cofania się dziąseł. Jest to choroba bakteryjna, która prowadzi do stopniowego niszczenia tkanek otaczających ząb dziąseł, więzadeł i kości. Postępująca paradontoza nieuchronnie prowadzi do utraty wsparcia dla zęba, a w konsekwencji do recesji.
- Nieprawidłowa higiena: Paradoksalnie, zbyt intensywna lub niewłaściwa higiena może przynieść więcej szkody niż pożytku. Agresywne, horyzontalne ruchy szczoteczką, zwłaszcza twardą szczoteczką, mogą mechanicznie uszkadzać delikatną tkankę dziąsłową, prowadząc do jej ścierania i cofania się.
- Wady zgryzu i przeciążenia zębów: Niewłaściwe ustawienie zębów lub nieprawidłowe siły działające podczas gryzienia i żucia mogą prowadzić do nadmiernego obciążenia konkretnych obszarów przyzębia. Długotrwałe przeciążenie może skutkować cofaniem się dziąseł w tych miejscach.
- Bruksizm: Zgrzytanie zębami, często nieświadome, zwłaszcza w nocy, generuje ogromne siły działające na zęby i otaczające je tkanki. Może to prowadzić do mikrourazów i stopniowego uszkadzania dziąseł.
- Uwarunkowania genetyczne: Niektórzy z nas są po prostu bardziej predysponowani do recesji dziąseł. Cienki biotyp dziąseł, czyli naturalnie cieńsza warstwa tkanki, sprawia, że są one bardziej podatne na uszkodzenia i cofanie się pod wpływem nawet niewielkich czynników.
- Niewłaściwie wykonane wypełnienia lub uzupełnienia protetyczne: Jeśli wypełnienie zęba wystaje ponad krawędź dziąsła lub korona protetyczna jest źle dopasowana, może to powodować chroniczne podrażnienie i stan zapalny dziąsła, sprzyjając recesji.
- Palenie papierosów: Nikotyna zawarta w papierosach powoduje skurcz naczyń krwionośnych w dziąsłach, co znacząco ogranicza dopływ tlenu i składników odżywczych. Osłabione dziąsła są bardziej podatne na choroby i uszkodzenia.
Paradontoza: cichy zabójca Twoich dziąseł i zębów
Paradontoza to choroba, która rozwija się podstępnie i często jest bagatelizowana, dopóki nie pojawią się poważne objawy. Jest to przewlekłe zapalenie przyzębia, wywoływane przez bakterie obecne w płytce nazębnej i kamieniu nazębnym. Bakterie te produkują toksyny, które atakują tkanki otaczające ząb dziąsła, cement korzeniowy i kość wyrostka zębodołowego. Proces zapalny prowadzi do stopniowego niszczenia tych struktur, co objawia się krwawieniem dziąseł, ich obrzękiem, a w dalszych stadiach ich cofaniem się i utratą kości. Nieleczona paradontoza jest główną przyczyną utraty zębów u osób dorosłych.
Zła technika szczotkowania: kiedy dbanie o higienę przynosi więcej szkody niż pożytku
Wiele osób uważa, że im mocniej i energiczniej będą szczotkować zęby, tym lepiej je wyczyszczą. Niestety, jest to błędne przekonanie. Zbyt duży nacisk podczas szczotkowania, zwłaszcza przy użyciu twardej szczoteczki i energicznych, poziomo-wymiatających ruchów, może prowadzić do mechanicznego uszkadzania dziąseł. Dziąsło jest delikatną tkanką, która pod wpływem ciągłego tarcia i nacisku może ulegać ścieraniu, co w efekcie prowadzi do jego cofania się i odsłaniania szyjek zębowych.
Bruksizm i wady zgryzu: ukryte siły niszczące Twój uśmiech
Bruksizm, czyli mimowolne zgrzytanie zębami, jest często problemem związanym ze stresem i może występować nawet podczas snu. Siły generowane podczas zgrzytania są wielokrotnie większe niż te, które działają podczas normalnego żucia. Te nadmierne obciążenia mogą prowadzić do mikrourazów przyzębia, a w konsekwencji do recesji dziąseł. Podobnie, wady zgryzu, takie jak stłoczenie zębów czy zgryz urazowy, powodują nierównomierne rozłożenie sił żucia, co może przeciążać niektóre zęby i prowadzić do cofania się otaczających je dziąseł.
Cienki biotyp dziąseł: czy jesteś genetycznie obciążony ryzykiem?
Każdy z nas ma inny "biotyp" dziąseł, czyli ich grubość i strukturę. Osoby z tzw. cienkim biotypem mają dziąsła naturalnie cieńsze i bardziej delikatne. Taka budowa sprawia, że są one znacznie bardziej podatne na uszkodzenia mechaniczne, stany zapalne oraz recesję, nawet przy stosunkowo niewielkim działaniu czynników ryzyka, takich jak nieprawidłowa technika szczotkowania. Jeśli w Twojej rodzinie występowały problemy z dziąsłami, warto zwrócić szczególną uwagę na profilaktykę.
Jak rozpoznać problem na czas? Sygnały alarmowe
Wczesne rozpoznanie recesji dziąseł jest kluczowe, ponieważ pozwala na szybsze wdrożenie działań zaradczych i zatrzymanie postępu choroby. Zwróć uwagę na poniższe sygnały, które mogą świadczyć o tym, że Twoje dziąsła zaczynają się cofać.
Nadwrażliwość zębów pierwszy znak, że korzeń jest odsłonięty
Kiedy dziąsła się cofają, odsłaniają szyjki zębowe, a często nawet korzenie zębów. Te części zęba nie są pokryte szkliwem, które chroni przed bodźcami zewnętrznymi. W efekcie zęby stają się nadwrażliwe na zmiany temperatury (zimne i gorące napoje oraz pokarmy), a także na dotyk czy słodkie smaki. Jeśli nagle zaczniesz odczuwać dyskomfort podczas jedzenia lodów czy picia gorącej herbaty, może to być pierwszy sygnał ostrzegawczy.
Wydłużone korony zębów: kiedy Twoje zęby nagle "rosną"
Jednym z najbardziej widocznych objawów recesji dziąseł jest wrażenie, że zęby nagle stają się dłuższe. W rzeczywistości zęby się nie wydłużają to dziąsła się cofają, odsłaniając część korony zęba, która wcześniej była ukryta pod tkanką dziąsłową. Może to również prowadzić do zauważenia większych przestrzeni między zębami lub powstania tzw. trójkątów recesji, czyli przestrzeni między punktami styczności zębów a ich linią dziąsłową.
Krwawienie i zaczerwienienie: objawy stanu zapalnego, który napędza recesję
Choć recesja może być spowodowana czynnikami mechanicznymi, często towarzyszy jej stan zapalny dziąseł. Zaczerwienione, opuchnięte i skłonne do krwawienia dziąsła, zwłaszcza podczas szczotkowania lub nitkowania, są sygnałem, że coś jest nie tak. Stan zapalny, jeśli nie zostanie opanowany, może dodatkowo osłabiać tkanki dziąsłowe i przyspieszać proces ich cofania się.
Stop recesji! Co możesz zrobić w domu
Pamiętaj, że domowe sposoby nie są w stanie odbudować utraconej tkanki dziąsłowej. Ich głównym celem jest zatrzymanie postępu recesji, zapobieganie jej dalszemu rozwojowi oraz wspieranie ogólnego zdrowia jamy ustnej. Wprowadzenie odpowiednich nawyków jest kluczowe, zwłaszcza jeśli chcesz uniknąć konieczności interwencji chirurgicznej.Technika mycia ma znaczenie: jak poprawnie szczotkować zęby, by chronić dziąsła?
Kluczem do ochrony dziąseł podczas codziennej higieny jest prawidłowa technika szczotkowania. Zapomnij o agresywnym szorowaniu. Najlepszą metodą jest technika wymiatająca lub tzw. metoda roll. Polega ona na przykładaniu szczoteczki pod kątem 45 stopni do powierzchni zębów i dziąseł, a następnie wykonywaniu delikatnych ruchów wymiatających od dziąsła w kierunku korony zęba. Ruchy powinny być krótkie i łagodne. Pamiętaj, aby szczotkować wszystkie powierzchnie zębów: zewnętrzne, wewnętrzne i żujące.
Wybór szczoteczki i pasty: Twój arsenał w codziennej walce o zdrowie
Odpowiednie narzędzia to podstawa. Zawsze wybieraj szczoteczki z miękkim (soft) lub bardzo miękkim (ultra-soft) włosiem. Unikaj szczoteczek twardych, które mogą łatwo uszkodzić dziąsła. Jeśli nie jesteś pewien, jaką szczoteczkę wybrać, skonsultuj się ze swoim stomatologiem lub higienistką stomatologiczną. Jeśli chodzi o pasty do zębów, szukaj produktów o działaniu przeciwzapalnym, wzmacniającym dziąsła i łagodzącym nadwrażliwość. Składniki takie jak kwas hialuronowy, ekstrakty ziołowe (np. szałwia, rumianek, mięta) czy chlorheksydyna (stosowana krótkotrwale, zgodnie z zaleceniem lekarza) mogą być pomocne.
Płukanki i irygatory: czy te dodatki naprawdę robią różnicę?
Płukanki do ust mogą stanowić cenne uzupełnienie codziennej higieny, ale nie zastąpią szczotkowania i nitkowania. Płukanki o działaniu antybakteryjnym, np. z chlorheksydyną, mogą być pomocne w krótkoterminowym leczeniu stanów zapalnych dziąseł, jednak ich długotrwałe stosowanie nie jest zalecane bez konsultacji z lekarzem. Irygatory wodne natomiast doskonale sprawdzają się w usuwaniu resztek pokarmowych z przestrzeni międzyzębowych i okolic przydziąsłowych, co jest szczególnie ważne dla osób z problemami dziąseł.
Gdy domowe sposoby nie wystarczą: profesjonalne leczenie
Jeśli domowe metody nie przynoszą poprawy, a recesja dziąseł postępuje, konieczna jest wizyta u stomatologa. Profesjonalne leczenie jest niezbędne, aby zatrzymać proces i, w niektórych przypadkach, odbudować utracone tkanki.
Pierwszy krok: leczenie przyczyny, czyli skaling, piaskowanie i kiretaż
Zanim lekarz stomatolog zaproponuje zabiegi chirurgiczne, priorytetem jest leczenie przyczyny recesji. Jeśli przyczyną jest paradontoza, kluczowe jest profesjonalne oczyszczenie zębów z kamienia nazębnego i osadu. Zabiegi takie jak skaling (usuwanie kamienia naddziąsłowego i poddziąsłowego), piaskowanie (usuwanie osadu) oraz kiretaż (głębokie oczyszczanie kieszonek dziąsłowych) są niezbędne do zatrzymania postępu choroby przyzębia i stworzenia warunków do regeneracji tkanek.
Chirurgiczna odbudowa dziąseł: jakie masz opcje i na czym polegają?
Gdy recesja jest zaawansowana, a tkanka dziąsłowa znacząco utracona, jedynym sposobem na jej fizyczne odtworzenie są zabiegi chirurgiczne. Istnieje kilka technik, które pozwalają na pokrycie odsłoniętych korzeni zębów i przywrócenie estetyki uśmiechu.
Przeszczep dziąsła z podniebienia kiedy jest konieczny?
Jedną z metod chirurgicznej odbudowy jest tzw. wolny przeszczep nabłonkowy. Polega on na pobraniu niewielkiego fragmentu tkanki łącznej z podniebienia pacjenta, a następnie przeszczepieniu go w miejsce recesji dziąsła. Ta metoda jest szczególnie skuteczna, gdy celem jest pogrubienie cienkiego biotypu dziąseł, co zwiększa ich odporność na przyszłe uszkodzenia i recesję. Przeszczep z podniebienia może również pomóc w pokryciu niewielkich ubytków tkanki dziąsłowej.
Pokrycie recesji płatem przesuniętym: nowoczesna mikrochirurgia w praktyce
Bardziej zaawansowaną techniką jest pokrycie recesji z wykorzystaniem płata tkankowego. Polega to na pobraniu fragmentu zdrowej tkanki dziąsłowej z sąsiedniego obszaru jamy ustnej (np. z okolicy sąsiedniego zęba) i przesunięciu go na odsłonięty korzeń zęba. Istnieją różne warianty tej metody, np. płat uszypułowany, gdzie fragment dziąsła jest nadal połączony z własnym ukrwieniem. Zabiegi te pozwalają na skuteczne pokrycie odsłoniętych korzeni i przywrócenie prawidłowej linii dziąseł. Orientacyjny koszt zabiegów pokrycia recesji dziąsła wynosi zazwyczaj od 1500 zł do 3000 zł za ząb, w zależności od skomplikowania i zastosowanej techniki.
Przeczytaj również: Zapalenie dziąseł: objawy, przyczyny i jak skutecznie leczyć
Profilaktyka to podstawa: jak zapobiegać recesji dziąseł
Najlepszym sposobem na uniknięcie problemów z cofającymi się dziąsłami jest ich skuteczna profilaktyka. Wprowadzenie zdrowych nawyków i regularne kontrole stomatologiczne mogą znacząco zmniejszyć ryzyko wystąpienia recesji.
Regularne wizyty u dentysty: dlaczego półroczna kontrola to absolutne minimum?
Regularne wizyty kontrolne u stomatologa, najlepiej co 6 miesięcy, są absolutnie kluczowe w profilaktyce recesji dziąseł. Podczas takiej wizyty stomatolog może wcześnie wykryć ewentualne problemy z dziąsłami, takie jak początki paradontozy czy nieprawidłową technikę szczotkowania. Profesjonalne zabiegi higienizacyjne, takie jak skaling i piaskowanie, wykonywane regularnie, usuwają kamień i osad, które są głównym źródłem problemów z dziąsłami. To inwestycja w zdrowie Twojego uśmiechu na lata.Rola diety i nawyków (np. palenia) w utrzymaniu zdrowych dziąseł
Zdrowa dieta bogata w witaminy i minerały, zwłaszcza witaminę C i D, wspiera odporność organizmu i zdrowie dziąseł. Unikanie nadmiernej ilości cukrów prostych ogranicza rozwój bakterii w jamie ustnej. Równie ważne jest unikanie szkodliwych nawyków. Palenie papierosów jest jednym z najpoważniejszych czynników ryzyka chorób dziąseł i recesji, ponieważ nikotyna znacząco upośledza krążenie w dziąsłach i ich zdolność do obrony. Rezygnacja z palenia to jeden z najlepszych kroków, jakie możesz podjąć dla zdrowia swoich dziąseł.




