Wizyta u dentysty często budzi silny lęk, ale dentofobia to problem, z którym można skutecznie walczyć. Ten artykuł dostarczy Ci praktycznych metod i sprawdzonych strategii, które pomogą Ci przezwyciężyć strach, odzyskać kontrolę i cieszyć się zdrowym, pięknym uśmiechem bez obaw.
Pokonaj lęk przed dentystą praktyczne metody na spokojną wizytę i zdrowy uśmiech
- Dentofobia dotyka 10-15% dorosłych Polaków, a niepokój przed wizytą odczuwa blisko połowa społeczeństwa.
- Główne przyczyny strachu to bolesne doświadczenia z przeszłości, lęk przed bólem, dźwiękiem wiertła, igłami i utrata kontroli.
- Nowoczesne technologie, takie jak znieczulenie komputerowe The Wand czy leczenie laserem, eliminują ból i dyskomfort.
- Farmakologiczne wsparcie, w tym sedacja wziewna (gaz rozweselający) i leczenie w narkozie, to skuteczne opcje dla osób z silnym lękiem.
- Kluczowe jest znalezienie empatycznego dentysty, otwarta komunikacja oraz korzystanie z wizyt adaptacyjnych i technik relaksacyjnych.
- Ustalenie sygnału "stop" i słuchanie muzyki na fotelu pomagają odzyskać poczucie kontroli podczas zabiegu.
Zrozumienie lęku: dlaczego wizyta u dentysty budzi tak silny strach?
Wielu z nas odczuwa pewien niepokój przed wizytą u dentysty, ale dla niektórych jest to prawdziwy, paraliżujący lęk, znany jako dentofobia. Z mojego doświadczenia wiem, że to zjawisko jest niezwykle powszechne. Statystyki pokazują, że dentofobia dotyka w Polsce nawet 10-15% dorosłych, a łagodniejszą formę niepokoju odczuwa blisko połowa społeczeństwa. To oznacza, że nie jesteś sam ze swoim problemem to zjawisko masowe, które dotyka ludzi w każdym wieku i o różnym statusie społecznym. Zrozumienie, że Twój strach jest uzasadniony i powszechny, to pierwszy krok do jego przezwyciężenia.
Trauma z dzieciństwa, ból i utrata kontroli najczęstsze przyczyny dentofobii
Skąd bierze się ten lęk? Najczęściej jego korzenie tkwią w negatywnych i bolesnych doświadczeniach z przeszłości, zwłaszcza tych z dzieciństwa. Pamięć o nieprzyjemnym zabiegu, braku znieczulenia czy nieempatycznym podejściu lekarza potrafi zostać z nami na lata. Inne kluczowe czynniki to lęk przed bólem, który jest naturalną reakcją obronną organizmu, a także nieprzyjemny dźwięk wiertła, widok igieł oraz poczucie utraty kontroli na fotelu dentystycznym. Często spotykam się również z sytuacją, gdy strach jest "dziedziczony" negatywne opowieści rodziców czy bliskich mogą nieświadomie zaszczepić w nas obawę przed dentystą, zanim jeszcze sami doświadczymy wizyty.
Jak unikanie wizyt tworzy błędne koło strachu i pogarsza stan zębów?
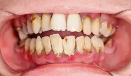
Niestety, unikanie wizyt u dentysty, choć wydaje się naturalną reakcją na lęk, prowadzi do błędnego koła. Długotrwałe ignorowanie problemów skutkuje pogarszającym się stanem zębów rozwija się zaawansowana próchnica, pojawiają się choroby dziąseł, a w konsekwencji może dojść nawet do utraty zębów. To z kolei wymusza konieczność podjęcia bardziej skomplikowanego, długotrwałego i niestety często kosztownego leczenia, co tylko potęguje lęk przed kolejnymi wizytami. Co więcej, przewlekłe stany zapalne w jamie ustnej mogą negatywnie wpływać na ogólny stan zdrowia, zwiększając ryzyko chorób serca czy nerek. Przerwanie tego cyklu jest kluczowe dla Twojego zdrowia i spokoju ducha.

Przygotowanie do wizyty: jak zminimalizować stres przed gabinetem?
Pierwszym i często najważniejszym krokiem w walce z dentofobią jest wybór odpowiedniego specjalisty i gabinetu. Nie każdy dentysta ma takie samo podejście do pacjenta, a empatia i zrozumienie są kluczowe, gdy borykamy się z lękiem. Zwróć uwagę na opinie innych pacjentów, a także na to, czy klinika stwarza przyjazną atmosferę. Szukaj miejsca, gdzie personel jest otwarty na rozmowę o Twoich obawach i gotowy dostosować się do Twoich potrzeb. Pamiętaj, że masz prawo wybrać lekarza, przy którym poczujesz się bezpiecznie.
- Sprawdź opinie: Poszukaj gabinetów z dobrymi recenzjami, zwłaszcza tych, które podkreślają empatię i cierpliwość personelu.
- Zadzwoń i zapytaj: Nie bój się zadzwonić i otwarcie powiedzieć o swoim lęku. Sprawdź, jak reaguje obsługa i czy oferują rozwiązania dla pacjentów z dentofobią.
- Odwiedź gabinet: Jeśli to możliwe, odwiedź klinikę przed umówioną wizytą, aby zobaczyć, jak wygląda i poczuć jej atmosferę.
Wizyta adaptacyjna Twój sposób na oswojenie gabinetu bez siadania na fotel
Wiele nowoczesnych gabinetów, w tym i mój, oferuje tzw. wizyty adaptacyjne. To doskonałe rozwiązanie dla osób, które chcą oswoić się z gabinetem i personelem bez presji poddawania się jakiemukolwiek zabiegowi. Podczas takiej wizyty możesz po prostu porozmawiać z lekarzem, zapoznać się ze sprzętem, usiąść na fotelu, a nawet dotknąć niektórych narzędzi. To pierwszy, bezpieczny krok w przełamywaniu lęku, który pozwala zbudować zaufanie i zmniejszyć niepokój przed właściwym leczeniem. Uważam, że to niezwykle cenna opcja, która działa cuda.
Otwarta rozmowa to podstawa: co powiedzieć dentyście o swoim strachu?
Szczera i otwarta komunikacja z dentystą to absolutna podstawa. Nie wstydź się mówić o swoich obawach, przeszłych negatywnych doświadczeniach czy poziomie lęku. Powiedz, co dokładnie Cię przeraża czy to widok igły, dźwięk wiertła, czy może poczucie utraty kontroli. Im więcej informacji przekażesz, tym lepiej lekarz będzie mógł dostosować swoje podejście i plan leczenia do Twoich indywidualnych potrzeb. Dobry dentysta zrozumie i doceni Twoją szczerość, a także zaproponuje rozwiązania, które pomogą Ci poczuć się komfortowo.
Techniki relaksacyjne, które możesz zastosować jeszcze w poczekalni
Zanim wejdziesz do gabinetu, możesz zastosować proste techniki relaksacyjne, które pomogą Ci się uspokoić:
- Głębokie oddychanie: Skup się na długich, spokojnych wdechach przez nos i powolnych wydechach przez usta. To pomaga obniżyć tętno i uspokoić układ nerwowy.
- Słuchanie muzyki: Załóż słuchawki i posłuchaj swojej ulubionej, relaksującej muzyki. Odwróci to Twoją uwagę od otoczenia gabinetu.
- Wizualizacja: Wyobraź sobie spokojne, bezpieczne miejsce może to być plaża, las, czy Twój ulubiony pokój. Skup się na detalach tego miejsca.
- Techniki uważności (mindfulness): Skup się na teraźniejszości, na tym, co czujesz, widzisz, słyszysz, ale bez oceniania. Pozwól myślom przepływać.

Stomatologia XXI wieku: technologie, które eliminują ból i dyskomfort
Współczesna stomatologia to już nie to samo, co lata temu. Dziś mamy do dyspozycji technologie, które realnie eliminują ból i dyskomfort, będące głównymi przyczynami lęku. Jedną z nich jest znieczulenie komputerowe The Wand/Calaject. To rewolucyjna metoda podawania środka znieczulającego, kontrolowana przez mikroprocesor. Płyn jest aplikowany niezwykle wolno i pod niskim ciśnieniem, co całkowicie eliminuje ból i nieprzyjemne uczucie rozpierania tkanek, które często towarzyszy tradycyjnym zastrzykom. Co więcej, sama igła jest tak cienka, że jej wkłucie jest praktycznie niewyczuwalne. To idealne rozwiązanie dla osób, które panicznie boją się igieł i zastrzyków, zapewniające maksymalny komfort i bezbolesność.
Leczenie bez wiertła: czy laser i abrazja powietrzna mogą zastąpić tradycyjne borowanie?
Dla wielu pacjentów dźwięk i wibracje wiertła są jednymi z najgorszych bodźców. Na szczęście, współczesna stomatologia oferuje alternatywy dla tradycyjnego borowania. W leczeniu wczesnych zmian próchnicowych coraz częściej stosuje się infiltrację żywicą (metoda Icon), która pozwala zatrzymać rozwój próchnicy bez konieczności borowania. Inną metodą jest abrazja powietrzna, gdzie ubytek opracowuje się za pomocą strumienia sprężonego powietrza z cząsteczkami tlenku glinu to bezbolesne i bezwibracyjne. Do opracowywania ubytków coraz częściej wykorzystuje się również lasery, które eliminują nieprzyjemny dźwięk i wibracje, zwiększając komfort pacjenta i minimalizując inwazyjność zabiegu.
Precyzja pod mikroskopem: dlaczego leczenie w powiększeniu jest bardziej komfortowe?
Leczenie pod mikroskopem to kolejny element nowoczesnej stomatologii, który znacząco wpływa na komfort i bezpieczeństwo pacjenta. Dzięki powiększeniu obrazu nawet 25-krotnie, dentysta zyskuje niezrównaną precyzję i widoczność. To pozwala na dokładniejsze usunięcie próchnicy, oszczędzenie zdrowych tkanek zęba i przeprowadzenie zabiegu w sposób mniej inwazyjny. Dla Ciebie oznacza to krótszy czas zabiegu, mniejszy dyskomfort i pewność, że leczenie jest wykonane z najwyższą starannością. Mniej inwazyjne zabiegi to mniej bólu i szybsza rekonwalescencja.

Gdy strach paraliżuje: farmakologiczne wsparcie w walce z dentofobią
Dla osób, u których lęk jest tak silny, że utrudnia lub uniemożliwia podjęcie leczenia, współczesna medycyna oferuje farmakologiczne wsparcie. Jedną z najpopularniejszych i bezpiecznych metod jest sedacja wziewna, czyli gaz rozweselający. Jak działa?
- Pacjent przez specjalną maseczkę na nosie wdycha mieszankę podtlenku azotu i tlenu.
- Jest to metoda stosowana zarówno u dorosłych, jak i u dzieci powyżej 3. roku życia.
- Pacjent pozostaje w pełni świadomy i może współpracować z lekarzem, ale czuje się głęboko zrelaksowany, odprężony i obojętny na to, co dzieje się wokół.
- Efekt działania jest natychmiastowy i ustępuje równie szybko po zakończeniu podawania gazu, co pozwala na bezpieczny powrót do domu.
To świetne rozwiązanie, które pozwala przełamać barierę strachu i spokojnie poddać się leczeniu.
Dla kogo przeznaczone jest leczenie zębów w narkozie?
W przypadkach skrajnej dentofobii, gdy inne metody zawodzą, lub gdy konieczne jest przeprowadzenie bardzo rozległych i skomplikowanych zabiegów chirurgicznych, rozważa się leczenie zębów w narkozie, czyli w znieczuleniu ogólnym. Jest to również opcja dla pacjentów niewspółpracujących, np. małych dzieci z dużymi potrzebami leczniczymi czy osób z niepełnosprawnościami. Podczas narkozy pacjent jest wprowadzany w stan snu farmakologicznego i nie pamięta zabiegu. Cała procedura odbywa się pod stałą opieką doświadczonego zespołu anestezjologicznego, który monitoruje wszystkie funkcje życiowe, zapewniając maksymalne bezpieczeństwo.
Sedacja wziewna a narkoza: czym się różnią i która opcja jest dla Ciebie?
Aby ułatwić Ci podjęcie decyzji, przygotowałam krótkie porównanie sedacji wziewnej i leczenia w narkozie:
| Cecha | Sedacja wziewna (gaz rozweselający) | Leczenie w narkozie (znieczulenie ogólne) |
|---|---|---|
| Poziom świadomości | Pacjent jest w pełni świadomy, zrelaksowany, współpracuje. | Pacjent jest w stanie snu farmakologicznego, nieświadomy, nie pamięta zabiegu. |
| Sposób podania | Maseczka na nos (inhalacja mieszanki gazów). | Zazwyczaj dożylnie (przez wkłucie w żyłę). |
| Wskazania | Umiarkowany lęk, krótkie i średnie zabiegi, dzieci powyżej 3 lat. | Skrajna dentofobia, rozległe/skomplikowane zabiegi, pacjenci niewspółpracujący. |
| Opieka medyczna | Dentysta i asysta. | Dentysta, asysta, zespół anestezjologiczny. |
| Powrót do normalności | Natychmiast po zakończeniu podawania gazu. | Stopniowy, wymaga czasu na wybudzenie i obserwację. |
Na fotelu dentystycznym: strategie odzyskiwania kontroli podczas zabiegu
Nawet siedząc na fotelu, możesz aktywnie wpływać na swój komfort. Jedną z najskuteczniejszych strategii jest ustalenie z dentystą sygnału "stop". Może to być proste podniesienie ręki, które będzie oznaczało, że potrzebujesz przerwy, zmiany pozycji, czy po prostu chwili wytchnienia. Świadomość, że w każdej chwili możesz zatrzymać zabieg, daje ogromne poczucie kontroli i znacząco zwiększa komfort psychiczny. Nie wahaj się z tego korzystać dobry dentysta zawsze uszanuje Twoją prośbę.
Słuchawki z muzyką lub podcastem: skuteczny sposób na odcięcie się od dźwięków gabinetu
Dźwięk wiertła, odgłosy ssaka, rozmowy personelu to wszystko może potęgować lęk. Prosty, ale niezwykle skuteczny sposób na odcięcie się od tych bodźców to założenie słuchawek z ulubioną muzyką, podcastem lub audiobookiem. Skupienie się na przyjemnych dźwiękach z zewnątrz pozwala zagłuszyć niepokojące odgłosy z gabinetu, a także odwrócić uwagę od samego zabiegu. To pomaga w większym odprężeniu i sprawia, że czas na fotelu mija szybciej i przyjemniej.
Skupienie na oddechu: prosta technika, która naprawdę działa
Kiedy czujesz narastający stres, skup się na swoim oddechu. Wykonaj głęboki wdech nosem, zatrzymaj powietrze na kilka sekund, a następnie powoli wypuść je ustami. Powtarzaj tę czynność. Skupienie na rytmie oddechu pomaga uspokoić umysł i ciało, obniża tętno i redukuje napięcie mięśniowe. To prosta, ale niezwykle efektywna technika relaksacyjna, którą możesz stosować w każdej chwili.
Twój zdrowy uśmiech: budowanie pozytywnej relacji z dentystą
Przełamywanie lęku to proces, który wymaga czasu i cierpliwości. Doradzam, aby planować leczenie małymi krokami. Zacznij od mniej inwazyjnych zabiegów, takich jak profesjonalna higienizacja czy proste wypełnienie. Dzięki temu stopniowo zbudujesz zaufanie do dentysty i oswoisz się z gabinetem oraz procedurami. Każda pozytywna wizyta to cegiełka w budowaniu nowej, pozytywnej relacji z dentystą i przełamywaniu lęku. Pamiętaj, że każdy ma prawo do komfortowego leczenia.
Regularne wizyty jako klucz do unikania skomplikowanych zabiegów w przyszłości
Regularne wizyty kontrolne i higienizacyjne to najlepsza inwestycja w Twój zdrowy uśmiech i spokój ducha. Dzięki nim można wcześnie wykryć wszelkie problemy, zanim zdążą się rozwinąć. Leczenie małych ubytków jest znacznie prostsze, szybsze i mniej inwazyjne niż skomplikowane zabiegi na zaawansowanych zmianach. W dłuższej perspektywie, regularne wizyty redukują stres związany z leczeniem, ponieważ wiesz, że nie czekają Cię żadne nieprzyjemne niespodzianki. To naprawdę działa!
Przeczytaj również: Lęk dziecka przed dentystą? Skuteczne sposoby na spokojną wizytę
Gdy domowe sposoby nie wystarczą: kiedy warto pomyśleć o wsparciu psychologa?
Jeśli mimo stosowania wszystkich powyższych metod Twój lęk przed dentystą jest nadal bardzo silny i paraliżujący, uniemożliwiając podjęcie jakiegokolwiek leczenia stomatologicznego, warto rozważyć wsparcie psychologa lub terapeuty. Specjalista może pomóc w przepracowaniu głęboko zakorzenionych lęków, traum z przeszłości i negatywnych schematów myślenia. Terapia może być kluczem do całkowitego uwolnienia się od dentofobii i odzyskania kontroli nad swoim zdrowiem jamy ustnej.




