Szukanie dentysty na Narodowy Fundusz Zdrowia bywa wyzwaniem, ale z odpowiednią wiedzą i narzędziami staje się znacznie prostsze. Ten artykuł to praktyczny przewodnik, który pomoże Ci krok po kroku znaleźć gabinet stomatologiczny z kontraktem NFZ w Twojej okolicy, a także jasno określi, jakie bezpłatne usługi Ci przysługują. Moim celem jest, abyś poczuł się pewniej i wiedział, czego możesz się spodziewać.
Jak znaleźć dentystę na NFZ? Skorzystaj z Informatora NFZ i poznaj swoje prawa!
- Najbardziej wiarygodnym źródłem informacji o dentystach z kontraktem NFZ jest oficjalny Informator o Terminach Leczenia NFZ.
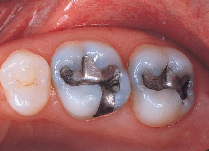
- W ramach NFZ przysługują bezpłatne "białe" plomby w zębach przednich (1-3) oraz amalgamatowe w bocznych (4+).
- Leczenie kanałowe jest refundowane wyłącznie dla zębów przednich (1-3).
- Raz w roku możesz skorzystać z bezpłatnego badania stomatologicznego ze skalingiem.
- W nagłych przypadkach dostępna jest stomatologiczna pomoc doraźna, dyżurująca wieczorami i w weekendy.
- Dentysta może prosić o dopłaty, jeśli wybierzesz usługi lub materiały wykraczające poza standard NFZ.
Znalezienie dentysty na NFZ: Dlaczego bywa wyzwaniem?
Dostęp do stomatologii w ramach Narodowego Funduszu Zdrowia w Polsce niestety wciąż bywa problematyczny. Z mojego doświadczenia wiem, że pacjenci często zmagają się z długimi czasami oczekiwania na wizytę, które mogą wynosić od kilku tygodni do nawet kilku miesięcy, zwłaszcza w większych miastach. Wynika to często z niewystarczających kontraktów, jakie NFZ zawiera z gabinetami stomatologicznymi. Niska wycena świadczeń przez Fundusz sprawia, że wielu dentystów rezygnuje z podpisywania umów, co naturalnie ogranicza liczbę dostępnych placówek i prowadzi do limitowania liczby przyjmowanych pacjentów. To frustrujące, gdy potrzebujesz pomocy, a musisz czekać.
- Zakres usług i materiały: W gabinecie na NFZ zakres świadczeń jest ściśle określony. Na przykład, w zębach bocznych przysługują Ci tylko wypełnienia amalgamatowe (srebrne), a leczenie kanałowe jest refundowane wyłącznie dla zębów przednich. W prywatnym gabinecie masz dostęp do szerszej gamy usług, nowoczesnych materiałów (np. estetycznych białych plomb w każdym zębie) i zaawansowanych procedur.
- Terminy oczekiwania: Jak już wspomniałam, na wizytę na NFZ często trzeba czekać. Prywatne gabinety oferują znacznie krótsze terminy, a często możliwość umówienia się nawet z dnia na dzień, co jest nieocenione w przypadku nagłego bólu.
- Koszty: Leczenie na NFZ jest bezpłatne w zakresie gwarantowanych świadczeń. W gabinecie prywatnym za wszystkie usługi płacisz z własnej kieszeni, ale w zamian otrzymujesz większą swobodę wyboru i często wyższy standard leczenia.
- Technologie i sprzęt: Gabinety prywatne często inwestują w nowocześniejszy sprzęt i technologie (np. mikroskopy do leczenia kanałowego, cyfrowe RTG), co może wpływać na precyzję i komfort leczenia.

Jak znaleźć dentystę na NFZ w Twojej okolicy? Sprawdzone metody
Kiedy szukasz dentysty na NFZ, kluczowe jest korzystanie z wiarygodnych źródeł. Najlepszym i najbardziej aktualnym narzędziem jest Oficjalny Informator o Terminach Leczenia NFZ, dostępny na stronie terminyleczenia.nfz.gov.pl. To właśnie tam znajdziesz najbardziej precyzyjne informacje o placówkach mających kontrakt z Funduszem oraz o dostępnych terminach. To moje pierwsze miejsce, do którego zawsze odsyłam pacjentów.
- Wejdź na stronę terminyleczenia.nfz.gov.pl.
- W sekcji "Rodzaj świadczenia" wybierz "Stomatologia".
- W sekcji "Świadczenie" wybierz interesującą Cię usługę, np. "Leczenie stomatologiczne" lub "Protetyka".
- Wybierz województwo i miejscowość, w której szukasz dentysty.
- Kliknij "Szukaj". System wyświetli listę placówek wraz z pierwszymi wolnymi terminami. Możesz sortować wyniki według daty, aby znaleźć najszybszy dostęp.
Warto również wspomnieć o Internetowym Koncie Pacjenta (IKP). To świetne narzędzie do zarządzania Twoim zdrowiem, receptami czy skierowaniami. Jednak do aktywnego wyszukiwania dentysty z kontraktem NFZ i sprawdzania terminów, Informator NFZ jest zdecydowanie bardziej efektywny i precyzyjny.
- Telefoniczna Informacja Pacjenta (TIP): Jeśli preferujesz kontakt telefoniczny lub masz dodatkowe pytania, zadzwoń pod bezpłatny numer 800 190 590. Konsultanci TIP udzielą Ci informacji o placówkach, które mają podpisane umowy z NFZ, oraz o dostępnych terminach leczenia. To bardzo pomocna opcja, zwłaszcza dla osób, które nie czują się pewnie w internecie.
- Strony internetowe Oddziałów Wojewódzkich NFZ: Na stronach internetowych poszczególnych oddziałów NFZ (np. Mazowieckiego, Śląskiego itp.) często publikowane są wykazy placówek, które mają podpisane umowy na świadczenia stomatologiczne. Warto zajrzeć do sekcji "Dla Pacjenta" lub "Gdzie się leczyć".

Bezpłatne leczenie stomatologiczne na NFZ: Co dokładnie Ci przysługuje?
Wiele osób zastanawia się, jakie wypełnienia zębów przysługują im bezpłatnie w ramach NFZ. Otóż, zasady są dość precyzyjne. W przypadku zębów przednich, czyli od jedynki do trójki (siekacze i kły), masz prawo do bezpłatnych "białych" plomb, czyli wypełnień kompozytowych światłoutwardzalnych. Są one estetyczne i trwałe. Jednakże, jeśli chodzi o zęby boczne (od czwórki wzwyż, czyli przedtrzonowce i trzonowce), NFZ refunduje wyłącznie wypełnienia amalgamatowe. Są to charakterystyczne srebrne plomby, które choć trwałe, nie są tak estetyczne jak kompozytowe.
Kwestia leczenia kanałowego, czyli endodoncji, również budzi wiele pytań. Zgodnie z przepisami NFZ, leczenie kanałowe jest refundowane wyłącznie dla zębów przednich (od jedynki do trójki). Oznacza to, że jeśli potrzebujesz leczenia kanałowego zęba trzonowego lub przedtrzonowego, będziesz musiał pokryć koszty z własnej kieszeni. To ważna informacja, którą zawsze podkreślam moim pacjentom, aby uniknąć nieporozumień.
- Badanie stomatologiczne z instruktażem higieny jamy ustnej: Przysługuje Ci raz w roku. To doskonała okazja, aby sprawdzić stan swoich zębów i dowiedzieć się, jak prawidłowo dbać o higienę.
- Usunięcie złogów nazębnych (kamienia): Raz na 12 miesięcy możesz skorzystać z bezpłatnego skalingu, czyli usunięcia kamienia nazębnego. To kluczowy element profilaktyki chorób dziąseł i próchnicy.
- Lakowanie zębów stałych u dzieci: Dzieciom do 18. roku życia przysługuje bezpłatne lakowanie bruzd zębów stałych, co pomaga chronić je przed próchnicą.
-
Protetyka:
- Ruchoma proteza częściowa lub całkowita: Przysługuje raz na 5 lat (w przypadku całkowitego bezzębia).
- Naprawa protezy: Refundowana raz na 2 lata.
-
Chirurgia stomatologiczna:
- Usunięcie zęba (jedno- i wielokorzeniowego): Jest świadczeniem gwarantowanym.
- Znieczulenie miejscowe: Zawsze przysługuje bezpłatnie podczas zabiegów.
-
Zdjęcia RTG:
- Przysługują zdjęcia rentgenowskie wewnątrzustne (punktowe), które są niezbędne do diagnostyki pojedynczych zębów.
- Zdjęcia panoramiczne (pantomogram) nie są refundowane przez NFZ i są płatne.
Nagły przypadek? Gdzie szukać stomatologicznej pomocy doraźnej na NFZ?
Nagły ból zęba, obrzęk, uraz czy inne ostre stany zapalne jamy ustnej mogą pojawić się w najmniej odpowiednim momencie często wieczorem lub w weekend. W takich sytuacjach nie musisz czekać na wizytę w ciągu dnia. W Polsce funkcjonuje stomatologiczna pomoc doraźna, która udziela świadczeń w nagłych przypadkach. Dyżury te zazwyczaj odbywają się w godzinach wieczornych (od 19:00 do 7:00) w dni powszednie oraz całodobowo w weekendy i święta. To ratunek, gdy ból staje się nie do zniesienia.
Listę placówek pełniących dyżury stomatologicznej pomocy doraźnej znajdziesz na stronach internetowych poszczególnych oddziałów wojewódzkich NFZ. Zawsze radzę sprawdzić te informacje z wyprzedzeniem i zapisać sobie adresy lub numery telefonów, aby w razie nagłej potrzeby wiedzieć, gdzie się udać bez zbędnej paniki.
Przeczytaj również: Dentysta to lekarz? Wyjaśniamy status i uprawnienia w Polsce
Przed wizytą u dentysty na NFZ: Co musisz wiedzieć i zabrać?
Na pierwszą wizytę u dentysty na NFZ zazwyczaj wystarczy zabrać ze sobą dowód tożsamości. W dzisiejszych czasach uprawnienia do świadczeń są weryfikowane elektronicznie w systemie eWUŚ (Elektroniczna Weryfikacja Uprawnień Świadczeniobiorców). Jeśli system nie potwierdzi Twoich uprawnień, możesz być poproszony o okazanie dokumentu potwierdzającego ubezpieczenie (np. legitymacji ubezpieczeniowej, zaświadczenia od pracodawcy), ale to zdarza się coraz rzadziej.
Jako pacjent masz swoje prawa, które obowiązują również w gabinecie stomatologicznym. Należą do nich przede wszystkim prawo do pełnej informacji o proponowanym leczeniu, jego alternatywach i możliwych powikłaniach. Masz także prawo do poszanowania Twojej godności i intymności oraz do dostępu do Twojej dokumentacji medycznej. Nie wahaj się zadawać pytań to Twoje zdrowie i masz prawo wiedzieć wszystko, co dotyczy leczenia.
Warto pamiętać, że dentysta pracujący na NFZ może poprosić o dodatkowe pieniądze (dopłaty), ale tylko w ściśle określonych sytuacjach. Dzieje się tak, gdy pacjent decyduje się na usługi lub materiały, które wykraczają poza standardowe świadczenia gwarantowane przez NFZ. Zawsze musisz być o tym poinformowany i wyrazić zgodę na takie dodatkowo płatne usługi przed rozpoczęciem leczenia. Nigdy nie powinno to być zaskoczeniem. Przykłady takich sytuacji to:
- Wybór białej (kompozytowej) plomby w zębie bocznym (gdzie NFZ refunduje amalgamat).
- Leczenie kanałowe zęba trzonowego lub przedtrzonowego.
- Wykonanie zdjęcia panoramicznego RTG (pantomogramu).
- Użycie bardziej zaawansowanych materiałów lub technik, które nie są objęte kontraktem z NFZ.




