Wybór odpowiedniej szczoteczki do zębów to coś więcej niż tylko kwestia estetyki to fundament zdrowia Twojej jamy ustnej. Często kierujemy się błędnym przekonaniem, że im twardsze włosie, tym lepiej wyczyścimy zęby, szczególnie po kawie czy herbacie. Niestety, ta zasada rzadko kiedy sprawdza się w praktyce, a nieodpowiedni wybór twardości szczoteczki może prowadzić do poważnych problemów. Jako Natalia Lewandowska, chętnie podzielę się z Tobą wiedzą, która pomoże Ci dokonać świadomego wyboru.
Wybór twardości szczoteczki: miękka to najczęściej zalecane i najbezpieczniejsze rozwiązanie
- Polscy stomatolodzy najczęściej rekomendują szczoteczki z miękkim (soft) lub średnio-twardym (medium) włosiem jako najbezpieczniejsze i najskuteczniejsze.
- Szczoteczki twarde (hard) są przeznaczone dla bardzo wąskiej grupy osób ze zdrowymi dziąsłami i dużą skłonnością do osadu, a ich nieprawidłowe użycie prowadzi do recesji dziąseł i abrazji szkliwa.
- Szczoteczki miękkie (soft/ultra-soft) są uniwersalne, skutecznie usuwają płytkę nazębną i są idealne dla osób z nadwrażliwością, krwawiącymi dziąsłami czy odsłoniętymi szyjkami zębowymi.
- Szczoteczki średnie (medium) to kompromis, bezpieczniejszy niż twarde, ale wciąż wymagający ostrożności przy sile nacisku.
- Kluczowe problemy wynikające ze złej twardości to recesja dziąseł, uszkodzenie szkliwa i krwawienie dziąseł.
- Ostateczny wybór twardości włosia powinien być podyktowany indywidualnym stanem zdrowia jamy ustnej i skonsultowany z dentystą.

Wybór odpowiedniej twardości szczoteczki do zębów ma fundamentalne znaczenie dla zdrowia naszej jamy ustnej. Wiele osób wciąż wierzy w mit, że im twardsze włosie, tym skuteczniej pozbędziemy się osadu i kamienia nazębnego. To niebezpieczne uproszczenie. Intensywne szorowanie twardą szczoteczką, zamiast przynieść ulgę, często prowadzi do mikrouszkodzeń dziąseł i szkliwa, co w dłuższej perspektywie może generować więcej problemów niż pożytku. Prawdziwa czystość wynika z odpowiedniej techniki i dopasowania narzędzia do naszych indywidualnych potrzeb, a nie z brutalnej siły.
Szczoteczka twarda: dla kogo jest i jakie niesie ryzyko
Szczoteczki o twardym włosiu są przeznaczone dla bardzo specyficznej i wąskiej grupy osób. Mowa tu przede wszystkim o osobach, które mają naturalnie zdrowe, mocne dziąsła, niepodatne na podrażnienia, a jednocześnie borykają się z problemem odkładania się trudnego do usunięcia osadu. Często dotyczy to nałogowych palaczy lub osób regularnie spożywających duże ilości kawy i herbaty. Jednak nawet w tych przypadkach, kluczowe jest stosowanie odpowiedniej techniki mycia. Niestety, nieprawidłowe lub zbyt częste używanie twardych szczoteczek to prosta droga do problemów, które mogą być trudne do odwrócenia.
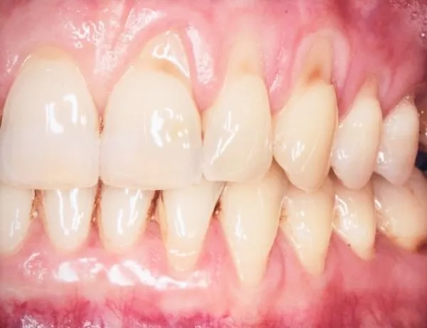
- Recesja dziąseł: Jest to jedno z najczęstszych i najbardziej niepokojących skutków używania zbyt twardego włosia. Dziąsła zaczynają się cofać, odsłaniając szyjki zębowe, co prowadzi do nadwrażliwości i zwiększa ryzyko próchnicy.
- Abrazja szkliwa: Twarde włosie, działając jak papier ścierny, może mechanicznie ścierać szkliwo zębów. Z czasem prowadzi to do jego osłabienia, utraty naturalnego połysku i zwiększonej podatności na uszkodzenia.
- Podrażnienie i krwawienie dziąseł: Nawet zdrowe dziąsła mogą zareagować na zbyt agresywne czyszczenie zaczerwienieniem, bólem i krwawieniem. Jest to sygnał alarmowy, którego nie wolno ignorować.
Szczoteczka miękka: dlaczego stomatolodzy polecają ją najczęściej
Szczoteczki z miękkim włosiem to prawdziwy „złoty standard” w higienie jamy ustnej, i to z bardzo dobrych powodów. Polscy stomatolodzy w zdecydowanej większości polecają szczoteczki z miękkim (soft) lub ewentualnie średnio-twardym (medium) włosiem. Uważają je za najbezpieczniejsze i najskuteczniejsze w usuwaniu płytki nazębnej bez ryzyka uszkodzenia dziąseł i szkliwa. Dlaczego? Miękkie, ale gęsto ułożone włókna potrafią doskonale dotrzeć do trudno dostępnych miejsc, takich jak okolice przydziąsłowe, skutecznie usuwając płytkę bakteryjną, która jest główną przyczyną próchnicy i chorób dziąseł. Jednocześnie są niezwykle delikatne, minimalizując ryzyko podrażnień. To sprawia, że są idealnym wyborem dla osób cierpiących na nadwrażliwość zębów, mających skłonność do krwawienia dziąseł, z odsłoniętymi szyjkami zębowymi, a także dla dzieci, których tkanki są jeszcze delikatniejsze. Co ważne, nie dajmy się zwieść pozorom nowoczesne szczoteczki z ultra-miękkim, gęstym włosiem są w stanie bardzo efektywnie poradzić sobie nawet z osadem po kawie czy herbacie, pod warunkiem stosowania odpowiedniej techniki mycia.
Polscy stomatolodzy w zdecydowanej większości polecają szczoteczki z miękkim (soft) lub ewentualnie średnio-twardym (medium) włosiem. Uważają je za najbezpieczniejsze i najskuteczniejsze w usuwaniu płytki nazębnej bez ryzyka uszkodzenia dziąseł i szkliwa.
Szczoteczka średnia (medium): złoty środek czy ryzykowny kompromis
Szczoteczki o średniej twardości (medium) stanowią popularny wybór dla osób, które szukają kompromisu między delikatnością a poczuciem dokładnego doczyszczenia. W porównaniu do szczoteczek miękkich, oferują nieco większy opór, co dla niektórych użytkowników przekłada się na subiektywne odczucie lepszego usuwania osadu. Są one również bezpieczniejszą alternatywą dla szczoteczek twardych, minimalizując ryzyko poważnych uszkodzeń. Mimo to, nie można zapominać, że nawet średnie włosie, przy zastosowaniu zbyt dużej siły nacisku podczas mycia, może prowadzić do podrażnień dziąseł i ścierania szkliwa. Mogą być one bezpiecznym wyborem dla osób, które nie borykają się ze specyficznymi problemami, takimi jak silna nadwrażliwość czy skłonność do krwawienia dziąseł, ale zawsze warto pamiętać o kontroli nacisku.

Jak twardość włosia wpływa na najczęstsze problemy jamy ustnej
Wybór niewłaściwej twardości szczoteczki i stosowanie agresywnej techniki mycia to jedne z głównych przyczyn powstawania powszechnych problemów w jamie ustnej. Zbyt twarde włosie, naciskane z nadmierną siłą, może prowadzić do mechanicznego uszkadzania delikatnych tkanek dziąseł, powodując ich krwawienie i stopniowe cofanie się zjawisko znane jako recesja dziąseł. Odsłonięte szyjki zębowe stają się wówczas bardziej podatne na próchnicę i nadwrażliwość, reagując bólem na zimne, gorące czy słodkie bodźce. Ponadto, mechaniczne ścieranie szkliwa, czyli abrazja, osłabia naturalną barierę ochronną zębów, czyniąc je bardziej podatnymi na uszkodzenia. W przypadku osób noszących aparaty ortodontyczne lub posiadających implanty, kluczowa jest delikatność dlatego zaleca się stosowanie szczoteczek o miękkim lub bardzo miękkim włosiu, które skutecznie oczyszczą uzębienie, nie powodując przy tym podrażnień czy uszkodzeń delikatnych elementów aparatu lub tkanek wokół implantów.
Praktyczny przewodnik: jak wybrać idealną twardość szczoteczki w 3 krokach
- Krok 1: Spójrz na swoje dziąsła Czy Twoje dziąsła są zazwyczaj zdrowe i nie krwawią podczas mycia? A może masz skłonność do ich podrażnień, krwawienia lub zauważasz ich cofanie się?
- Krok 2: Oceń swoje nawyki Czy Twoja dieta bogata jest w barwiące napoje i produkty (kawa, herbata, czerwone wino), czy może palisz papierosy? Czy odczuwasz nadwrażliwość zębów na zimno lub ciepło?
- Krok 3: Skonsultuj się ze swoim dentystą To najważniejszy krok. Twój dentysta lub higienistka stomatologiczna najlepiej oceni stan Twojej jamy ustnej i na podstawie dokładnego badania poda Ci najbardziej trafną rekomendację dotyczącą twardości włosia szczoteczki.
Wybór dokonany: o czym jeszcze pamiętać, by myć zęby skutecznie i bezpiecznie
- Nie tylko twardość się liczy: Pamiętaj, że oprócz twardości, ważna jest również wielkość główki szczoteczki oraz kształt i układ włosia. Mała główka ułatwia dotarcie do wszystkich zakamarków jamy ustnej, a odpowiednio wyprofilowane włosie lepiej usuwa płytkę nazębną.
- Siła nacisku i technika mycia: Nawet najmiększa szczoteczka może wyrządzić szkody, jeśli będziesz jej używać zbyt mocno lub nieprawidłowo. Kluczem jest delikatne, okrężne lub wymiatające ruchy, a nie agresywne szorowanie.
- Regularna wymiana: Zużyta szczoteczka traci swoje właściwości czyszczące i może stać się siedliskiem bakterii. Zmieniaj ją co najmniej raz na 3 miesiące, a także po każdej infekcji (np. przeziębieniu), aby zapewnić sobie skuteczną i higieniczną ochronę.




