Rak płaskonabłonkowy jamy ustnej to poważna choroba, która często rozwija się podstępnie, a jej wczesne objawy bywają lekceważone. Zrozumienie, jakie symptomy powinny wzbudzić nasz niepokój i jak szybko reagować, może zadecydować o skuteczności leczenia i szansach na powrót do zdrowia. W tym artykule przyjrzymy się bliżej tym sygnałom, abyś wiedział, na co zwracać uwagę.
Wczesne objawy raka płaskonabłonkowego jamy ustnej klucz do skutecznego leczenia i lepszych rokowań
- Rak płaskonabłonkowy to nowotwór stanowiący ponad 90% wszystkich złośliwych zmian w jamie ustnej, który często jest diagnozowany zbyt późno.
- Kluczowe wczesne objawy obejmują utrzymujące się przez ponad 2-3 tygodnie białe lub czerwone plamy (leukoplakia, erytroplakia), niegojące się owrzodzenia, guzki lub zgrubienia.
- Objawy zaawansowanego raka mogą manifestować się bólem, problemami z mową i połykaniem, szczękościskiem, rozchwianiem zębów, powiększonymi węzłami chłonnymi na szyi oraz niezamierzoną utratą wagi.
- Główne czynniki ryzyka to palenie tytoniu, nadużywanie alkoholu, infekcja wirusem HPV oraz przewlekłe podrażnienia jamy ustnej.
- Wczesna diagnostyka, oparta na biopsji, jest kluczowa dla rokowań 5-letnie przeżycie wynosi ok. 80% przy wczesnym wykryciu, a poniżej 30% w stadiach zaawansowanych.
- W przypadku zaobserwowania niepokojących zmian, niezbędna jest natychmiastowa konsultacja z lekarzem stomatologiem lub laryngologiem.
Wczesna identyfikacja objawów raka płaskonabłonkowego jamy ustnej jest niezwykle ważna, ponieważ pozwala na rozpoczęcie leczenia na etapie, gdy jest ono najbardziej skuteczne. Im wcześniej choroba zostanie wykryta, tym większe szanse na całkowite wyleczenie i uniknięcie poważnych konsekwencji zdrowotnych.
Rak płaskonabłonkowy jamy ustnej w Polsce: co mówią statystyki?
Rak płaskonabłonkowy stanowi przytłaczającą większość, bo ponad 90%, wszystkich nowotworów złośliwych lokalizujących się w jamie ustnej. W Polsce jest to szósty najczęściej rozpoznawany nowotwór złośliwy wśród mężczyzn. Niestety, świadomość społeczna na temat objawów tej choroby jest wciąż stosunkowo niska, co często skutkuje diagnozowaniem jej dopiero w zaawansowanym stadium, kiedy leczenie jest znacznie trudniejsze i mniej skuteczne.
Zrozumieć chorobę: czym dokładnie jest rak płaskonabłonkowy?
Rak płaskonabłonkowy, znany również jako rak kolczystokomórkowy, to typ nowotworu złośliwego wywodzący się z komórek nabłonka płaskiego, które pokrywają błonę śluzową jamy ustnej. Stanowi on zdecydowaną większość, bo ponad 90%, wszystkich przypadków raka diagnozowanych w obrębie jamy ustnej. Zrozumienie jego natury jest pierwszym krokiem do rozpoznania potencjalnych zagrożeń.
Najważniejsza zasada: dlaczego 2 tygodnie to granica, której nie wolno ignorować?
Wszelkie zmiany w jamie ustnej, takie jak owrzodzenia, plamy o nietypowym zabarwieniu, czy wyczuwalne guzki, które utrzymują się dłużej niż dwa do trzech tygodni i nie wykazują tendencji do gojenia się, powinny być sygnałem alarmowym. Ta dwutygodniowa granica jest kluczowa jeśli niepokojąca zmiana nie znika samoistnie w tym czasie, konieczna jest natychmiastowa konsultacja lekarska w celu wykluczenia lub potwierdzenia obecności nowotworu.

Pierwsze sygnały ostrzegawcze: zmiany w jamie ustnej, na które musisz zwrócić uwagę
W tej sekcji skupimy się na tym, co możemy zobaczyć gołym okiem na widocznych zmianach w obrębie jamy ustnej, które mogą być pierwszymi sygnałami ostrzegawczymi raka płaskonabłonkowego. Wczesne zauważenie tych symptomów jest kluczowe dla szybkiej diagnostyki.
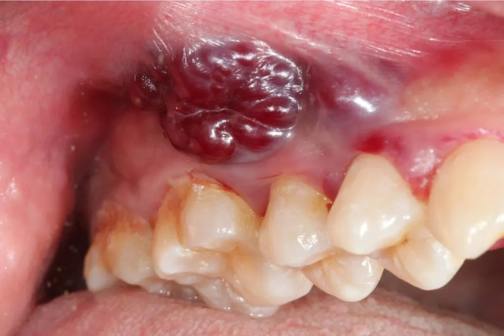
Białe i czerwone plamy (leukoplakia i erytroplakia): kiedy alarmować?
Jednymi z pierwszych widocznych zmian mogą być leukoplakia, czyli białe, łuszczące się plamy lub smugi na błonie śluzowej, których nie da się zetrzeć, oraz erytroplakia czerwone, aksamitne plamy, które często są wrażliwe na dotyk i mogą łatwo krwawić. Należy pamiętać, że erytroplakia jest zmianą o wyższym potencjale zezłośliwienia niż leukoplakia, dlatego obie wymagają pilnej uwagi lekarza.
Niegojące się owrzodzenie lub ranka: typowy, lecz często lekceważony objaw
Utrzymujące się owrzodzenie, czyli rana w jamie ustnej, która nie goi się przez dłuższy czas, jest jednym z najbardziej typowych, a zarazem często lekceważonych objawów raka płaskonabłonkowego. Może być ono początkowo niebolesne, co sprawia, że pacjenci bagatelizują problem, zwlekając z wizytą u specjalisty.
Guzki, zgrubienia i stwardnienia: jak je rozpoznać dotykiem?
Należy zwrócić uwagę na wszelkie wyczuwalne pod palcami guzki, zgrubienia lub stwardnienia w obrębie warg, języka, dziąseł lub wewnętrznej strony policzków. Zmiany te mogą być początkowo niewielkie i nie dawać żadnych dolegliwości bólowych, dlatego ważne jest regularne badanie jamy ustnej palpacyjnie.
Objawy, które czujesz: co powinno wzbudzić Twój niepokój?
Oprócz widocznych zmian, istnieją również objawy subiektywne, które możemy odczuwać. Te symptomy, choć nie zawsze widoczne na pierwszy rzut oka, również mogą sygnalizować rozwijający się problem i powinny wzbudzić nasz niepokój.
Ból, który nie mija: ból gardła, języka lub ból promieniujący do ucha
Utrzymujący się, uporczywy ból w obrębie jamy ustnej, gardła, lub języka, który nie ustępuje mimo stosowania domowych metod łagodzenia, jest sygnałem, którego nie wolno ignorować. Czasem ból może promieniować do ucha, co dodatkowo dezorientuje pacjenta i opóźnia właściwą diagnozę.
Trudności z jedzeniem: ból przy połykaniu i problemy z żuciem
Jeśli zauważasz, że żucie pokarmów staje się trudniejsze lub towarzyszy mu ból, a proces połykania (zwany dysfagią) jest utrudniony lub bolesny (odynofagia), może to być oznaka zaawansowania zmian nowotworowych w jamie ustnej lub gardle. Dolegliwości te mogą wynikać z nacieku nowotworowego na struktury odpowiedzialne za te funkcje.
Uczucie drętwienia lub zmiany czucia w obrębie wargi, języka czy brody
Zmiany w odczuwaniu, takie jak uporczywe drętwienie, mrowienie lub przeczulica w obrębie wargi, języka lub brody, mogą świadczyć o naciekaniu przez nowotwór na okoliczne nerwy. Jest to objaw, który wymaga szczegółowej diagnostyki.

Zaawansowane symptomy raka płaskonabłonkowego: kiedy choroba postępuje
Poniższe objawy wskazują zazwyczaj na bardziej zaawansowane stadium choroby. Ich pojawienie się jest sygnałem, że nowotwór rozprzestrzenił się i wymaga pilnej interwencji medycznej.
Zmiany w mowie i trudności z poruszaniem językiem
Gdy naciek nowotworowy obejmuje mięsień języka, może prowadzić do ograniczenia jego ruchomości i trudności z artykulacją, czyli dyzartrii. Mowa staje się niewyraźna, co jest wyraźnym sygnałem, że choroba postępuje.
Szczękościsk: dlaczego nie możesz w pełni otworzyć ust?
Szczękościsk, czyli ograniczenie możliwości otwierania ust, jest objawem świadczącym o naciekaniu mięśni żwaczy lub innych struktur w okolicy stawu skroniowo-żuchwowego. Jest to symptom zaawansowanego stadium choroby.
Ruszające się zęby bez przyczyny stomatologicznej
Jeśli zęby zaczynają się rozchwiać, a przyczyna nie leży w chorobach przyzębia czy urazie, może to być związane z naciekaniem nowotworowym na kości szczęki lub żuchwy. Jest to bardzo niepokojący objaw.
Powiększone węzły chłonne na szyi: widoczny sygnał alarmowy
Pojawienie się wyczuwalnych, często twardych i niebolesnych guzków na szyi, które są powiększonymi węzłami chłonnymi, jest zazwyczaj oznaką przerzutów nowotworowych. Jest to jeden z najbardziej widocznych i poważnych sygnałów zaawansowania raka jamy ustnej.
Niezamierzona utrata wagi i ogólne osłabienie organizmu
Znacząca i niezamierzona utrata masy ciała, a także ogólne osłabienie, zmęczenie i brak energii, mogą być systemowymi objawami zaawansowanego raka. Organizm zużywa energię na walkę z chorobą, co prowadzi do tych symptomów.
Kto jest w grupie podwyższonego ryzyka? Główne przyczyny raka jamy ustnej
Zrozumienie czynników ryzyka pozwala na świadome unikanie niebezpiecznych nawyków i podejmowanie działań profilaktycznych. Oto główne przyczyny, które zwiększają prawdopodobieństwo rozwoju raka płaskonabłonkowego jamy ustnej.
Rola tytoniu i alkoholu: śmiertelny duet
Palenie tytoniu we wszystkich formach (papierosy, cygara, fajka, tytoń do żucia) oraz nadmierne spożywanie alkoholu to dwa kluczowe, niezależne czynniki ryzyka rozwoju raka jamy ustnej. Co gorsza, ich jednoczesne występowanie znacząco zwielokrotnia to ryzyko, tworząc tzw. śmiertelny duet.
Wirus HPV: cichy winowajca, o którym musisz wiedzieć
Infekcja wirusem brodawczaka ludzkiego (HPV), szczególnie niektórymi jego typami onkogennymi, takimi jak HPV 16, jest coraz częściej identyfikowana jako istotny czynnik ryzyka rozwoju raka płaskonabłonkowego jamy ustnej, zwłaszcza w obrębie gardła.
Przewlekłe drażnienie i brak higieny: jak codzienne nawyki wpływają na ryzyko?
Długotrwałe, mechaniczne drażnienie błony śluzowej jamy ustnej, na przykład przez ostry brzeg zęba, źle dopasowane protezy dentystyczne, czy nawykowe przygryzanie policzka, może prowadzić do przewlekłego stanu zapalnego i zwiększać ryzyko rozwoju raka. Podobnie, zaniedbanie higieny jamy ustnej sprzyja powstawaniu stanów zapalnych i może pośrednio wpływać na rozwój choroby.
Przeczytaj również: Zapalenie jamy ustnej: Szybkie sposoby, leki i kiedy iść do lekarza
Zauważyłem niepokojące objawy: co robić i do kogo się udać?
Jeśli po przeczytaniu o potencjalnych objawach, zaczynasz podejrzewać u siebie lub bliskiej osoby problem, kluczowe jest podjęcie odpowiednich kroków. Ta sekcja podpowie Ci, jak postępować w takiej sytuacji.
Pierwszy krok: wizyta u stomatologa czy laryngologa?
W przypadku zaobserwowania jakichkolwiek niepokojących zmian w jamie ustnej, pierwszym krokiem powinna być wizyta u lekarza stomatologa. Jeśli stomatolog stwierdzi konieczność dalszej diagnostyki lub podejrzewa zmianę zlokalizowaną głębiej, skieruje Cię do lekarza laryngologa (otolaryngologa).
Jak wygląda proces diagnostyczny? Od badania do biopsji
- Badanie laryngologiczne lub stomatologiczne, podczas którego lekarz dokładnie ocenia jamę ustną, gardło i okoliczne struktury.
- Jeśli lekarz stwierdzi niepokojącą zmianę, kluczowym etapem jest pobranie wycinka tkanki (biopsja) z tej zmiany.
- Pobrany materiał jest następnie wysyłany do laboratorium histopatologicznego, gdzie patomorfolog dokonuje szczegółowej oceny komórkowej i potwierdza lub wyklucza obecność nowotworu.
Nie odkładaj wizyty na później: dlaczego czas jest Twoim największym sojusznikiem?
Podkreślam to z całą mocą: nie odkładaj wizyty u specjalisty. Czas jest Twoim największym sojusznikiem w walce z rakiem płaskonabłonkowym jamy ustnej. Dane są jednoznaczne: pięcioletnie przeżycie w przypadku wczesnego wykrycia raka płaskonabłonkowego jamy ustnej wynosi około 80%, podczas gdy w stadiach zaawansowanych spada poniżej 30%. Wczesne wykrycie znacząco poprawia szanse na skuteczne leczenie, minimalizuje ryzyko powikłań i znacząco zwiększa szanse na powrót do pełnego zdrowia.




