
Jak szybko pozbyć się znieczulenia po dentystyście? Metody
Masz drętwienie po znieczuleniu stomatologicznym? Poznaj 5 bezpiecznych metod, by szybko odzyskać czucie. Sprawdź, czego unikać i kiedy iść do dentysty.

Masz drętwienie po znieczuleniu stomatologicznym? Poznaj 5 bezpiecznych metod, by szybko odzyskać czucie. Sprawdź, czego unikać i kiedy iść do dentysty.

Szukasz leków na gorączkę? Dowiedz się, kiedy wybrać paracetamol, a kiedy ibuprofen. Poznaj dawkowanie i bezpieczne metody. Sprawdź nasz przewodnik!

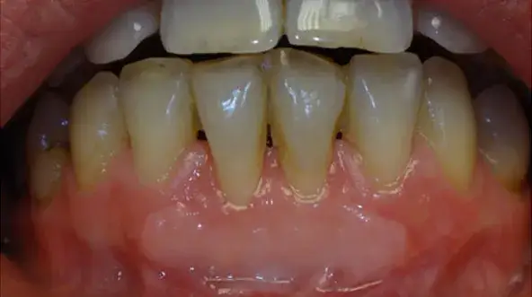
Czy dziąsła odrastają? Dowiedz się, dlaczego recesja jest nieodwracalna i poznaj skuteczne metody leczenia oraz domowe sposoby na zatrzymanie problemu.

Masz zapalenie jamy ustnej? Odkryj skuteczne domowe sposoby, leki bez recepty i dowiedz się, kiedy wizyta u lekarza jest konieczna. Sprawdź nasz poradnik!

Zobacz, jak wyglądają dziąsła przy ząbkowaniu: zaczerwienienie, opuchlizna, białe plamki i krwiaki. Poznaj inne objawy i skuteczne sposoby na ulgę dla dziecka.

Dowiedz się, ile działa znieczulenie od dentysty (2-4h). Poznaj czynniki wpływające na czas i praktyczne wskazówki po zabiegu.

Dowiedz się, gdzie wyrzucić tubkę po paście do zębów. Poznaj zasady segregacji JSSO i rozwiej wątpliwości. Sprawdź nasz poradnik!

Krwawienie dziąseł to sygnał alarmowy! Poznaj najczęstsze przyczyny od higieny po choroby. Sprawdź, kiedy iść do dentysty i jak dbać o zdrowie dziąseł.

Szukasz dentysty na NFZ? Zobacz, jak łatwo umówić wizytę, co obejmuje leczenie i jak radzić sobie z kolejkami. Kompletny przewodnik.

Dowiedz się, jak działa szczoteczka soniczna! Odkryj jej sekret, porównaj z rotacyjną i poznaj korzyści dla zdrowych zębów. Sprawdź, jak jej używać!