
Dziąsła przy ząbkowaniu: Jak wyglądają? Zdjęcia i objawy
Zobacz, jak wyglądają dziąsła niemowlaka podczas ząbkowania! Rozpoznaj normalne objawy i niepokojące sygnały. Sprawdź skuteczne sposoby ukojenia.

Zobacz, jak wyglądają dziąsła niemowlaka podczas ząbkowania! Rozpoznaj normalne objawy i niepokojące sygnały. Sprawdź skuteczne sposoby ukojenia.

Sprawdź swoje e-recepty online! Dowiedz się, jak uzyskać dostęp przez IKP i mObywatel. Odkryj, jak odzyskać kod i zarządzać lekami bliskich.

Zapalenie dziąseł: poznaj kluczowe objawy (krwawienie, obrzęk, nieświeży oddech) i przyczyny. Sprawdź, kiedy wizyta u stomatologa jest konieczna.

Zapalenie jamy ustnej: poznaj objawy, rodzaje (afty, pleśniawki, opryszczka) i sprawdź, kiedy iść do lekarza. Odkryj domowe sposoby na ból!

Dowiedz się, kiedy wyrwać zęba, jak przebiega zabieg u dentysty i jak dbać o siebie po ekstrakcji. Poznaj ryzyko samodzielnego usuwania i uniknij powikłań. Czytaj!

Dowiedz się, kiedy możesz bezpiecznie napić się kawy po wyrwaniu zęba. Poznaj kluczowe zalecenia stomatologiczne i uniknij powikłań. Sprawdź!

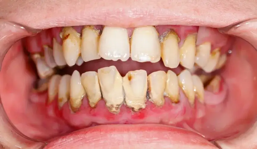
Jak usunąć kamień nazębny? Dowiedz się, dlaczego domowe metody są ryzykowne. Poznaj skuteczną profilaktykę i bezpieczne usuwanie kamienia u dentysty.

Szczoteczka soniczna czy elektryczna? Porównujemy mechanizmy, skuteczność i wpływ na dziąsła. Dowiedz się, która jest najlepsza dla Ciebie!

Dowiedz się, jak długo trwa znieczulenie stomatologiczne i co wpływa na jego ustępowanie. Poznaj praktyczne wskazówki i kiedy szukać pomocy.

Masz grzybicę jamy ustnej? Poznaj skuteczne metody leczenia farmakologicznego i domowe sposoby. Dowiedz się, jak szybko pozbyć się pleśniawek i zapobiec nawrotom.