
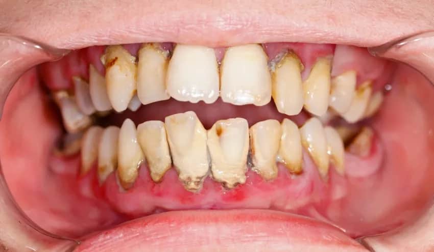
Jak usunąć kamień nazębny? Dowiedz się, dlaczego domowe metody są ryzykowne. Poznaj skuteczną profilaktykę i bezpieczne usuwanie kamienia u dentysty.
Nazywam się Natalia Lewandowska i od ponad 10 lat zajmuję się tematyką zdrowia, ze szczególnym uwzględnieniem stomatologii. Posiadam dyplom lekarza stomatologa oraz liczne certyfikaty potwierdzające moje umiejętności w zakresie nowoczesnych metod leczenia i profilaktyki. Moje doświadczenie zdobywałam pracując w renomowanych klinikach, gdzie miałam okazję nie tylko leczyć pacjentów, ale także prowadzić szkolenia dla młodszych kolegów. Specjalizuję się w zagadnieniach związanych z higieną jamy ustnej oraz nowinkami w stomatologii estetycznej. Wierzę, że zdrowy uśmiech jest kluczem do dobrego samopoczucia, dlatego staram się przekazywać informacje w sposób przystępny i zrozumiały, aby każdy mógł zadbać o swoje zdrowie. Moim celem jest nie tylko dzielenie się wiedzą, ale także inspirowanie innych do podejmowania świadomych decyzji dotyczących zdrowia. Pisząc dla stomatologia-natadent.pl, dążę do dostarczania rzetelnych i aktualnych informacji, które pomogą czytelnikom w lepszym zrozumieniu zagadnień stomatologicznych. Zależy mi na budowaniu zaufania i świadomości w społeczeństwie, ponieważ wierzę, że każdy zasługuje na dostęp do wysokiej jakości informacji zdrowotnych.

Jak usunąć kamień nazębny? Dowiedz się, dlaczego domowe metody są ryzykowne. Poznaj skuteczną profilaktykę i bezpieczne usuwanie kamienia u dentysty.

Szukasz idealnej szczoteczki sonicznej? Odkryj ranking, kluczowe funkcje i porady, jak wybrać model dopasowany do Ciebie. Sprawdź nasz przewodnik!

Poznaj leki na grypę: OTC i na receptę. Dowiedz się, jak odróżnić grypę od przeziębienia i skutecznie złagodzić objawy. Sprawdź nasz poradnik!

polish Bolące dziąsło? Odkryj domowe sposoby na ulgę, sprawdzone preparaty apteczne i dowiedz się, kiedy pilnie iść do dentysty. Zadbaj o zdrowie dziąseł!

Szukasz skutecznych leków na przeziębienie bez recepty? Odkryj nasz przewodnik po aptecznych rozwiązaniach dopasowanych do objawów: gorączki, bólu, kataru i kaszlu.

Ile zarabia dentysta w Polsce? Sprawdź medianę, średnie zarobki, wpływ doświadczenia, specjalizacji i formy zatrudnienia. Odkryj potencjał własnego gabinetu.

Szczoteczka soniczna czy elektryczna? Porównujemy mechanizmy, skuteczność i wpływ na dziąsła. Dowiedz się, która jest najlepsza dla Ciebie!

Poznaj objawy zęba do leczenia kanałowego: ból, zmiany koloru, opuchlizna. Dowiedz się, kiedy jest konieczne i jak przebiega leczenie.

Sprawdź, ile zarabiają dentyści w Polsce! Dowiedz się o widełkach, specjalizacjach, wpływie doświadczenia i kosztach własnej praktyki.

Ból po ataku dny moczanowej? Sprawdź skuteczne leki OTC i domowe sposoby na szybką ulgę. Dowiedz się, kiedy wizyta u lekarza jest konieczna.