Kandydoza jamy ustnej: objawy, przyczyny i kiedy iść do lekarza
Poznaj objawy kandydozy jamy ustnej: biały nalot, pieczenie, ból i zmiany smaku. Dowiedz się, co ją powoduje i kiedy szukać pomocy lekarskiej.
Poznaj objawy kandydozy jamy ustnej: biały nalot, pieczenie, ból i zmiany smaku. Dowiedz się, co ją powoduje i kiedy szukać pomocy lekarskiej.
Podrażnione dziąsła? Odkryj domowe sposoby na szybką ulgę, skuteczne leki z apteki i dowiedz się, kiedy iść do dentysty. Sprawdź nasz poradnik!
Masz objawy grypy? Dowiedz się, gdzie zrobić test i jak szybko uzyskać leki na receptę. Sprawdź nasz poradnik!
Brak zęba? Poznaj domowe sposoby maskowania luki: koraliki termoplastyczne, ryzyka i bezpieczne alternatywy. Sprawdź nasz poradnik!
Domowe sposoby na próchnicę? Dowiedz się, jak remineralizować szkliwo i kiedy wizyta u dentysty jest niezbędna. Odkryj nowoczesne metody leczenia.
Szukasz idealnego płynu do płukania ust? Odkryj, jak dobrać go do swoich potrzeb: składniki, ranking, porady ekspertów. Dowiedz się więcej!
Masz wzdęcia? Odkryj skuteczne leki OTC, naturalne zioła i praktyczne porady, które szybko przyniosą ulgę. Sprawdź, jak pozbyć się uczucia pełności!
Ile trwa usuwanie szóstki? Dowiedz się o czasie zabiegu, bólu, gojeniu i zaleceniach po ekstrakcji zęba trzonowego. Sprawdź nasz poradnik!
Martwisz się torbielą na dziąśle? Dowiedz się, jak ją rozpoznać po wyglądzie i objawach. Poznaj przyczyny, zagrożenia i skuteczne leczenie. Działaj szybko!
Dentysta może wystawić L4! Dowiedz się, kiedy zwolnienie lekarskie od stomatologa jest ważne i w pełni honorowane przez ZUS. Sprawdź zasady!
Ból po wyrwaniu zęba? Dowiedz się, jak długo trwa, co jest normalne i jak go złagodzić. Poznaj objawy powikłań i kiedy szukać pomocy stomatologa.
Masz problem z lękiem dziecka przed dentystą? Odkryj skuteczne metody przygotowania, techniki uspokajania i nowoczesne rozwiązania. Sprawdź nasz poradnik!
Leki na zapalenie oskrzeli bez recepty? Odkryj, jak wybrać syrop na suchy i mokry kaszel. Dowiedz się, kiedy wizyta u lekarza jest konieczna.
Szczoteczka soniczna: co to jest i jak działa? Poznaj sekrety jej skuteczności, zjawisko kawitacji i dowiedz się, dla kogo jest idealna. Sprawdź nasz przewodnik!
Poznaj koszt wyrwania zęba 7 w Polsce: od 300 do 1200 zł. Sprawdź, co wpływa na cenę i czy NFZ refunduje zabieg.
Dowiedz się, kiedy rosną zęby mądrości (17-25 lat), jakie objawy towarzyszą ich wyrzynaniu i jak radzić sobie z bólem. Sprawdź, kiedy wizyta u dentysty jest konieczna.
Szukasz bezpiecznych leków na przeziębienie w ciąży? Sprawdź, co możesz stosować, czego unikać i poznaj skuteczne domowe sposoby.
Otwarta buzia, ślinienie, problemy z jedzeniem? Poznaj objawy hipotonii oralnej u dziecka i dowiedz się, jak skutecznie pomóc.
Zastanawiasz się, jak długo działa znieczulenie stomatologiczne? Dowiedz się, co wpływa na czas drętwienia i jak postępować po wizycie u dentysty. Sprawdź!
Jak zatamować krwawienie z dziąsła? Sprawdź natychmiastowe metody pierwszej pomocy, poznaj przyczyny i skuteczne sposoby zapobiegania problemowi.
Poznaj wczesne objawy raka płaskonabłonkowego jamy ustnej: białe plamy, owrzodzenia, guzki. Wczesne wykrycie to klucz do leczenia. Sprawdź, co musisz wiedzieć.
Wybierz idealny irygator! Poznaj rodzaje, parametry i końcówki. Poradnik pomoże Ci zadbać o zdrowy uśmiech. Sprawdź teraz!
Zastanawiasz się nad przeszczepem dziąsła? Poznaj szczegółowo korzyści, ryzyko, koszty i proces gojenia. Dowiedz się, czy to rozwiązanie dla Ciebie!
Masz drętwienie po znieczuleniu stomatologicznym? Poznaj 5 bezpiecznych metod, by szybko odzyskać czucie. Sprawdź, czego unikać i kiedy iść do dentysty.
Szukasz leków na gorączkę? Dowiedz się, kiedy wybrać paracetamol, a kiedy ibuprofen. Poznaj dawkowanie i bezpieczne metody. Sprawdź nasz przewodnik!
Brak leków na receptę? Dowiedz się, jak legalnie i szybko zdobyć e-receptę online. Poznaj bezpieczne alternatywy i uniknij ryzyka.
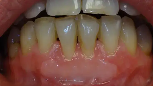
Czy dziąsła odrastają? Dowiedz się, dlaczego recesja jest nieodwracalna i poznaj skuteczne metody leczenia oraz domowe sposoby na zatrzymanie problemu.