Ten artykuł szczegółowo wyjaśnia, czym jest ropień na dziąśle, jak go rozpoznać po wyglądzie i objawach, a także jakie kroki należy podjąć w przypadku jego wystąpienia. Dowiesz się, dlaczego ropień jest poważnym problemem wymagającym natychmiastowej interwencji stomatologicznej i jak skutecznie mu zapobiegać.
Ropień na dziąśle jak go rozpoznać i co robić, gdy się pojawi?
- Ropień na dziąśle to bolesna, zaczerwieniona i opuchnięta wypukłość, często wypełniona żółtawą lub zielonkawą ropą.
- Do głównych objawów należą silny, pulsujący ból, opuchlizna dziąsła i policzka, a także możliwe objawy ogólnoustrojowe, takie jak gorączka czy osłabienie.
- Najczęstszymi przyczynami są nieleczona próchnica zębów lub zaawansowane choroby przyzębia (paradontoza).
- W oczekiwaniu na wizytę u dentysty można stosować zimne okłady i płukanki z soli lub ziół, ale nigdy nie wolno samodzielnie przebijać ropnia.
- Ropień zawsze wymaga pilnej konsultacji i profesjonalnego leczenia stomatologicznego, aby uniknąć poważnych powikłań.
- Nieleczony ropień może prowadzić do rozprzestrzenienia się infekcji, powstania przetok, a nawet zagrożenia sepsą.
Co to jest ropień na dziąśle i dlaczego nigdy nie wolno go ignorować?
Ropień na dziąśle to nic innego jak zbiornik ropy, który powstaje w wyniku ostrej infekcji bakteryjnej. Ropa, będąca mieszaniną obumarłych komórek, bakterii i białych krwinek, gromadzi się w tkankach dziąsła lub w okolicy wierzchołka korzenia zęba. Z mojego doświadczenia wiem, że wielu pacjentów bagatelizuje ten problem, traktując go jako "zwykłą opuchliznę". To ogromny błąd! Ignorowanie ropnia jest niezwykle niebezpieczne, ponieważ infekcja bakteryjna może szybko rozprzestrzenić się na inne tkanki jamy ustnej, a nawet na sąsiednie obszary, takie jak zatoki czy oko. W skrajnych przypadkach może dojść do ogólnoustrojowego zakażenia, czyli sepsy, która jest stanem zagrażającym życiu. Dlatego zawsze podkreślam: ropień to sygnał alarmowy, który wymaga natychmiastowej interwencji stomatologicznej.

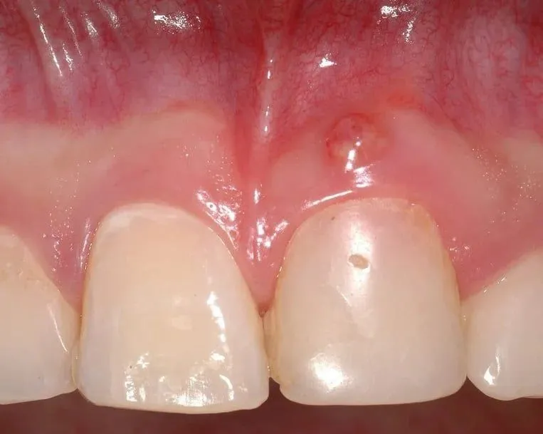
Jak wygląda ropień? Kluczowe cechy wizualne, które pomogą Ci go zidentyfikować
Rozpoznanie ropnia na dziąśle po samym wyglądzie jest kluczowe dla szybkiej reakcji. Zazwyczaj ropień manifestuje się jako bolesna, wyraźnie widoczna wypukłość na dziąśle. Może przybierać różne formy od niewielkiego pęcherzyka, przez guzek, aż po większą krostę. To, co go wyróżnia, to przede wszystkim kolor i konsystencja. Często jest intensywnie zaczerwieniony, a w jego centrum można dostrzec żółtawą lub zielonkawą treść ropną, która prześwituje przez cieńszą błonę śluzową. Zmiana ta jest zazwyczaj wyraźnie odgraniczona od zdrowej tkanki dziąsła, co ułatwia jej identyfikację. Pamiętaj, że dotknięcie ropnia jest zazwyczaj bardzo bolesne, a sama okolica jest opuchnięta i twarda w dotyku.
- Kolor: Intensywnie zaczerwieniony, z żółtawą lub zielonkawą treścią ropną widoczną w centrum.
- Kształt: Wypukłość, pęcherzyk, guzek lub krosta.
- Konsystencja: Opuchnięty, twardy, bardzo bolesny przy dotyku.
- Odgraniczenie: Zazwyczaj wyraźnie odgraniczony od zdrowej tkanki dziąsła.
Krok po kroku: Jak rozwija się ropień od pierwszych objawów do widocznego pęcherza
Rozwój ropnia to proces, który zazwyczaj przebiega w kilku etapach, choć u niektórych osób może postępować bardzo szybko. Zaczyna się od początkowej infekcji bakteryjnej, która najczęściej ma swoje źródło w nieleczonej próchnicy lub chorobie przyzębia. Bakterie namnażają się, a organizm w odpowiedzi na zakażenie wysyła komórki odpornościowe, co prowadzi do stanu zapalnego. W miarę postępu infekcji, martwe komórki, bakterie i płyn gromadzą się, tworząc ropę. Początkowo ropa może zbierać się w głębszych tkankach, na przykład pod okostną (faza podokostnowa), co jest niezwykle bolesne, ponieważ okostna jest bardzo unerwiona. Następnie, gdy ciśnienie ropy staje się zbyt duże, infekcja przebija się przez kość i tkanki, tworząc widoczny bąbel pod błoną śluzową dziąsła (faza podśluzówkowa). To właśnie ten moment, kiedy ropień staje się najbardziej widoczny i często bywa mylony ze zwykłym pęcherzem.
Alarmujące sygnały towarzyszące ropniowi na dziąśle
Ropień na dziąśle rzadko występuje w izolacji. Zazwyczaj towarzyszą mu inne objawy, które wskazują na rozwijającą się infekcję. Zwrócenie na nie uwagi jest kluczowe dla szybkiej diagnozy i podjęcia leczenia.
Ból, opuchlizna i inne objawy miejscowe: czego możesz się spodziewać?
Najbardziej charakterystycznym i uciążliwym objawem ropnia jest silny, pulsujący ból. Często pacjenci opisują go jako "rozpierający" lub "ćmiący", który może nasilać się podczas jedzenia, picia, a nawet leżenia. Ból ten niejednokrotnie promieniuje do ucha, szczęki, skroni, a nawet szyi, co może utrudniać jego zlokalizowanie. Poza bólem, niemal zawsze pojawia się znaczna opuchlizna dziąsła w okolicy ropnia, która może rozprzestrzeniać się na policzek, a nawet na całą stronę twarzy. Ząb, który jest przyczyną ropnia, staje się wrażliwy na nacisk (np. podczas gryzienia) oraz na zmiany temperatury. Może również wydawać się "wyższy" niż pozostałe zęby.
- Silny, pulsujący ból: Często promieniujący do ucha, szczęki lub szyi.
- Opuchlizna: Dziąsła, a często także policzka.
- Wrażliwość zęba: Na nacisk i zmiany temperatury.
- Uczucie "wysokiego" zęba: Ząb wydaje się wystawać ponad linię zgryzu.
Gorączka, osłabienie, powiększone węzły chłonne: kiedy infekcja atakuje cały organizm
Kiedy infekcja bakteryjna staje się bardziej zaawansowana i zaczyna rozprzestrzeniać się poza bezpośrednie miejsce ropnia, mogą pojawić się objawy ogólnoustrojowe. To sygnał, że organizm walczy z zakażeniem. Do najczęstszych należą gorączka, dreszcze i ogólne osłabienie. Pacjent może czuć się zmęczony, apatyczny, a nawet odczuwać bóle mięśniowe. Bardzo często obserwuje się również powiększenie węzłów chłonnych w okolicy szyi lub pod żuchwą, co jest naturalną reakcją układu odpornościowego na toczący się proces zapalny. Pojawienie się tych objawów jest wyraźnym znakiem, że infekcja jest poważna i wymaga pilnej interwencji medycznej.
Nieprzyjemny zapach i gorzki posmak w ustach: co oznaczają te symptomy?
Nieprzyjemny zapach z ust (halitoza) oraz gorzki posmak to bardzo częste, choć często lekceważone, objawy towarzyszące ropniowi. Są one bezpośrednim wynikiem obecności bakterii i ropy w jamie ustnej. Ropa zawiera produkty przemiany materii bakterii beztlenowych, które wydzielają lotne związki siarki, odpowiadające za nieprzyjemny zapach. Jeśli ropień pęknie, nawet w niewielkim stopniu, ropa zaczyna wypływać do jamy ustnej, co skutkuje gorzkim, nieprzyjemnym posmakiem. To nie tylko kwestia komfortu, ale także kolejny sygnał, że w jamie ustnej toczy się aktywna infekcja, wymagająca leczenia.
Skąd bierze się ropa na dziąśle? Główne przyczyny
Zrozumienie przyczyn powstawania ropnia jest kluczowe nie tylko dla skutecznego leczenia, ale także dla profilaktyki. W mojej praktyce najczęściej spotykam się z kilkoma głównymi winowajcami.
Nieleczona próchnica jako winowajca numer jeden
Zdecydowanie najczęstszą przyczyną powstawania ropnia na dziąśle jest zaawansowana, nieleczona próchnica zębów. Kiedy ubytek próchnicowy jest na tyle głęboki, że bakterie docierają do miazgi zęba (czyli jego "nerwu"), dochodzi do jej zapalenia, a następnie martwicy. Martwa miazga stanowi doskonałą pożywkę dla bakterii, które namnażają się i rozprzestrzeniają przez kanały korzeniowe poza wierzchołek zęba, do otaczającej kości. Tam właśnie tworzy się ropień okołowierzchołkowy, który następnie może przebić się przez kość i tkanki miękkie, tworząc widoczną wypukłość na dziąśle. To klasyczny scenariusz, którego można uniknąć poprzez regularne wizyty u dentysty i leczenie próchnicy na wczesnym etapie.
Choroby przyzębia (paradontoza) a ryzyko powstania ropnia
Drugą, równie istotną przyczyną ropni, są zaawansowane choroby przyzębia, takie jak paradontoza. W przebiegu paradontozy dochodzi do niszczenia tkanek otaczających ząb dziąsła, kości i więzadeł. Wokół zębów tworzą się tzw. kieszonki dziąsłowe, które są idealnym miejscem do gromadzenia się resztek pokarmowych i namnażania bakterii. Kiedy w takiej kieszonce dojdzie do nagromadzenia dużej ilości bakterii i zablokowania odpływu, powstaje ropień przyzębny (dziąsłowy). Jest on zazwyczaj zlokalizowany na bocznej powierzchni korzenia zęba, wzdłuż linii dziąsła. Leczenie paradontozy i regularne usuwanie kamienia nazębnego są kluczowe w zapobieganiu tego typu ropniom.
Urazy mechaniczne, problemy z ósemkami i inne, mniej oczywiste przyczyny
Poza próchnicą i paradontozą, istnieją również inne, choć rzadsze, przyczyny powstawania ropni. Należą do nich:
- Urazy mechaniczne dziąsła: Czasami nawet drobne uszkodzenie dziąsła, np. od wykałaczki, szczoteczki do zębów czy ostrego fragmentu pokarmu, może stworzyć wrota wejścia dla bakterii i doprowadzić do powstania ropnia.
- Problemy z wyrzynającymi się ósemkami: Zęby mądrości, zwłaszcza te, które wyrzynają się częściowo lub krzywo, często są przyczyną stanów zapalnych dziąsła (tzw. pericoronitis), które mogą ewoluować w ropnie. Trudno jest utrzymać higienę w tej okolicy, co sprzyja infekcjom.
- Niedokładnie wykonane leczenie kanałowe: W rzadkich przypadkach, jeśli leczenie kanałowe nie zostało przeprowadzone precyzyjnie, w pozostałościach kanałów mogą rozwijać się bakterie, prowadząc do powstania ropnia.
- Ogólne osłabienie odporności: Osoby z obniżoną odpornością (np. po chorobach, w trakcie leczenia immunosupresyjnego) są bardziej podatne na rozwój infekcji, w tym ropni.
Ropień zęba a ropień dziąsła czy to to samo?
Choć oba typy ropni lokalizują się w jamie ustnej i są bolesne, istnieją między nimi kluczowe różnice, które wpływają na diagnozę i leczenie. Poniżej przedstawiam ich charakterystykę:
| Typ ropnia | Charakterystyka (lokalizacja, przyczyna) |
|---|---|
| Ropień okołowierzchołkowy (ropień zęba) | Zlokalizowany jest przy wierzchołku korzenia zęba. Jego główną przyczyną jest infekcja martwej miazgi zęba, najczęściej w wyniku nieleczonej, głębokiej próchnicy. Ból jest zazwyczaj pulsujący, nasila się przy nagryzaniu. |
| Ropień przyzębny (ropień dziąsła) | Tworzy się w kieszonce dziąsłowej, czyli przestrzeni między zębem a dziąsłem. Wynika z zaawansowanych chorób przyzębia (paradontozy) lub urazów dziąsła. Ból jest często ostry, a dziąsło wokół zęba jest bardzo opuchnięte i zaczerwienione. |
Pierwsza pomoc przy ropniu dziąsła: co robić, a czego unikać
Kiedy pojawia się ropień, najważniejsze jest, aby działać rozsądnie i nie panikować. Pamiętaj, że domowe sposoby mogą jedynie złagodzić objawy, ale nigdy nie zastąpią profesjonalnej pomocy stomatologicznej.
Bezpieczne domowe sposoby na złagodzenie bólu i obrzęku
W oczekiwaniu na wizytę u dentysty, możesz zastosować kilka bezpiecznych metod, które pomogą Ci przetrwać ten trudny czas i nieco zmniejszyć dyskomfort. Pamiętaj jednak, że są to tylko środki doraźne, które nie leczą przyczyny ropnia.
- Zimne okłady na policzek: Przyłóż zimny kompres lub owinięte w ściereczkę kostki lodu do policzka w okolicy ropnia. Zimno pomoże zmniejszyć obrzęk i złagodzić ból. Stosuj przez 15-20 minut co kilka godzin.
- Płukanki z soli: Rozpuść łyżeczkę soli w szklance ciepłej wody i płucz jamę ustną kilka razy dziennie. Sól działa antyseptycznie i może pomóc w redukcji stanu zapalnego.
- Płukanki ziołowe: Napary z szałwii lub rumianku mają właściwości przeciwzapalne i łagodzące. Przygotuj napar, ostudź go i płucz jamę ustną.
- Leki przeciwbólowe dostępne bez recepty: Ibuprofen lub paracetamol mogą pomóc w opanowaniu bólu. Stosuj je zgodnie z zaleceniami producenta.
Dlaczego samodzielne przekłuwanie ropnia to najgorszy pomysł?
To jest coś, co muszę podkreślić z całą mocą: nigdy, przenigdy nie próbuj samodzielnie przekłuwać ropnia! Wiem, że perspektywa natychmiastowej ulgi jest kusząca, ale takie działanie jest niezwykle ryzykowne. Po pierwsze, możesz wprowadzić do rany jeszcze więcej bakterii, pogarszając infekcję. Po drugie, ropa zamiast wypłynąć na zewnątrz, może rozprzestrzenić się w głąb tkanek, prowadząc do znacznie poważniejszych powikłań, takich jak ropowica (rozległy stan zapalny tkanki łącznej) czy nawet sepsa. Przebicie ropnia powinno być wykonane wyłącznie przez stomatologa, w sterylnych warunkach i z odpowiednim sprzętem.
Kiedy należy natychmiast udać się na stomatologiczny SOR?
W większości przypadków ropień wymaga pilnej wizyty u stomatologa w trybie ambulatoryjnym. Istnieją jednak sytuacje, które kwalifikują się jako nagły przypadek i wymagają natychmiastowej pomocy na stomatologicznym SOR-ze lub w dyżurnej placówce. Nie zwlekaj, jeśli doświadczasz:
- Bardzo silnego bólu: Który nie ustępuje po przyjęciu leków przeciwbólowych.
- Szybko narastającego obrzęku: Szczególnie jeśli obrzęk rozprzestrzenia się na gardło, utrudniając oddychanie lub przełykanie.
- Wysokiej gorączki i dreszczy: Wskazującej na ogólnoustrojowe rozprzestrzenianie się infekcji.
- Ogólnego złego samopoczucia: Osłabienia, zawrotów głowy, nudności.
Jak dentysta leczy ropień? Przebieg interwencji
Profesjonalne leczenie ropnia przez stomatologa jest kluczowe dla usunięcia infekcji i zapobiegania powikłaniom. Proces ten zazwyczaj obejmuje kilka etapów.
Drenaż ropnia: kluczowy zabieg przynoszący natychmiastową ulgę
Pierwszym i najważniejszym krokiem w leczeniu ropnia jest jego nacięcie i drenaż. Zabieg ten polega na wykonaniu niewielkiego nacięcia w najbardziej wypukłym miejscu ropnia, co pozwala na odpływ zgromadzonej ropy. Jest to procedura zazwyczaj wykonywana w znieczuleniu miejscowym, a jej efektem jest natychmiastowa ulga w bólu, ponieważ ciśnienie wewnątrz ropnia zostaje zredukowane. Drenaż jest absolutnie kluczowy, ponieważ usuwa źródło infekcji i pozwala na oczyszczenie obszaru. Czasem dentysta może umieścić w nacięciu mały sączek, aby zapewnić ciągły odpływ ropy.
Leczenie kanałowe czy ekstrakcja: co dalej z zębem przyczynowym?
Po udrożnieniu ropnia, dentysta musi zająć się przyczyną jego powstania. Jeśli ropień był wynikiem martwicy miazgi zęba (ropień okołowierzchołkowy), najczęściej konieczne jest leczenie kanałowe. Polega ono na usunięciu zainfekowanej miazgi z kanałów korzeniowych, ich dokładnym oczyszczeniu, zdezynfekowaniu i wypełnieniu. W ten sposób ząb zostaje uratowany. Niestety, w niektórych przypadkach, gdy ząb jest zbyt zniszczony, nie nadaje się do leczenia, lub infekcja jest bardzo rozległa, jedynym rozwiązaniem może być ekstrakcja (usunięcie) zęba. Decyzja o dalszym postępowaniu jest zawsze podejmowana indywidualnie, po dokładnej ocenie stanu zęba i otaczających tkanek.
Rola antybiotyków w walce z zaawansowaną infekcją
W wielu przypadkach, zwłaszcza gdy infekcja jest rozległa, towarzyszy jej gorączka, obrzęk rozprzestrzenia się poza dziąsło, lub pacjent ma obniżoną odporność, stomatolog może zdecydować o wdrożeniu antybiotykoterapii. Antybiotyki pomagają zwalczyć bakterie odpowiedzialne za infekcję, wspierając proces gojenia i zapobiegając dalszemu rozprzestrzenianiu się zakażenia w organizmie. Ważne jest, aby przyjmować antybiotyki dokładnie według zaleceń lekarza, nawet jeśli objawy ustąpią, aby uniknąć nawrotu infekcji i rozwoju oporności bakterii.

Ropień na dziąśle u dziecka: co każdy rodzic powinien wiedzieć
Ropień na dziąśle u dziecka to sytuacja, która zawsze budzi niepokój rodziców. Jako ekspertka wiem, że u maluchów infekcje mogą postępować znacznie szybciej niż u dorosłych, a ich konsekwencje bywają poważniejsze.
Jak rozpoznać ropień u malucha i dlaczego jest on szczególnie groźny?
U dzieci ropień na dziąśle objawia się podobnie jak u dorosłych jako bolesna, zaczerwieniona wypukłość na dziąśle, często z widoczną ropą. Dziecko może skarżyć się na ból zęba, mieć problemy z jedzeniem, być rozdrażnione, a nawet mieć gorączkę. Czasem trudniej jest zlokalizować ból u małego dziecka, dlatego warto zwracać uwagę na wszelkie zmiany w zachowaniu. Ropień u dziecka jest szczególnie groźny, ponieważ najczęściej jest konsekwencją głębokiej próchnicy zębów mlecznych. Nieleczona infekcja zęba mlecznego może uszkodzić zawiązek zęba stałego, który znajduje się tuż pod nim, prowadząc do jego nieprawidłowego rozwoju, przebarwień, a nawet utraty. Ponadto, ze względu na niedojrzały układ odpornościowy, infekcja może szybciej rozprzestrzeniać się w organizmie dziecka.
Bezpieczne postępowanie i przygotowanie dziecka do wizyty u dentysty
Jeśli zauważysz ropień na dziąśle u swojego dziecka, najważniejsze jest zachowanie spokoju i szybka reakcja. Oto kilka wskazówek:
- Natychmiast umów wizytę u stomatologa dziecięcego: Nie czekaj, aż ropień sam pęknie. Im szybciej dziecko zostanie zbadane, tym lepiej.
- Zimne okłady: Podobnie jak u dorosłych, zimny okład na policzek może pomóc zmniejszyć ból i obrzęk.
- Leki przeciwbólowe: Możesz podać dziecku lek przeciwbólowy i przeciwgorączkowy przeznaczony dla dzieci, zgodnie z jego wiekiem i wagą.
- Unikaj samodzielnego leczenia: Absolutnie nie próbuj przekłuwać ropnia ani stosować niepewnych "domowych" metod.
- Przygotuj dziecko na wizytę: Opowiedz mu w prosty sposób, co się wydarzy, zapewnij, że dentysta pomoże mu pozbyć się bólu. Pozytywne nastawienie rodzica jest kluczowe.
Poważne konsekwencje nieleczonego ropnia: dlaczego zwlekanie jest niebezpieczne
Chociaż ropień może wydawać się lokalnym problemem, jego nieleczenie niesie ze sobą szereg poważnych konsekwencji. Jako stomatolog, zawsze staram się uświadamiać pacjentom, że zwlekanie z wizytą u dentysty w przypadku ropnia to igranie ze zdrowiem.
Przetoka ropna: gdy organizm sam tworzy ujście dla infekcji
Jedną z częstych konsekwencji długo utrzymującego się ropnia jest powstanie przetoki ropnej. Jest to swego rodzaju "kanał", który organizm tworzy, aby umożliwić odpływ ropy z głębszych tkanek na zewnątrz, najczęściej do jamy ustnej. Przetoka wygląda jak mała krostka lub otwór na dziąśle, z którego okresowo lub stale wydobywa się ropa. Choć jej pojawienie się może przynieść ulgę w bólu (ponieważ ciśnienie w ropniu spada), nie oznacza to w żadnym wypadku wyleczenia! Przetoka jest jedynie objawem przewlekłej infekcji, która nadal toczy się w tkankach. Wymaga ona leczenia stomatologicznego, aby usunąć źródło zakażenia i zamknąć przetokę.
Ryzyko rozprzestrzenienia się zakażenia i zagrożenie sepsą
Najpoważniejszym zagrożeniem związanym z nieleczonym ropniem jest ryzyko rozprzestrzenienia się infekcji. Bakterie z ropnia mogą migrować do sąsiednich tkanek i narządów. Mogą zająć zatoki szczękowe, prowadząc do zapalenia zatok. W skrajnych przypadkach infekcja może rozprzestrzenić się na oko, prowadząc do poważnych problemów ze wzrokiem, lub na tkanki miękkie twarzy i szyi, wywołując ropowicę, która jest stanem zapalnym wymagającym natychmiastowej interwencji chirurgicznej. Najbardziej dramatycznym, choć rzadkim, powikłaniem jest sepsa, czyli ogólnoustrojowe zakażenie organizmu. Sepsa jest stanem zagrożenia życia, który wymaga hospitalizacji i intensywnego leczenia. Dlatego tak ważne jest, aby nie lekceważyć żadnego ropnia i jak najszybciej skonsultować się ze stomatologiem.
Jak skutecznie zapobiegać powstawaniu ropni
Zapobieganie jest zawsze lepsze niż leczenie, a w przypadku ropni na dziąśle ta zasada sprawdza się doskonale. Większości z nich można uniknąć, stosując proste, ale konsekwentne zasady.
Kluczowa rola codziennej higieny jamy ustnej
Podstawą profilaktyki ropni jest prawidłowa i regularna higiena jamy ustnej. To fundament, na którym budujemy zdrowie naszych zębów i dziąseł. Codzienne, dokładne szczotkowanie zębów co najmniej dwa razy dziennie (przez minimum dwie minuty) pozwala usunąć płytkę bakteryjną i resztki pokarmowe, które są główną przyczyną próchnicy i chorób przyzębia. Nie zapominajmy również o używaniu nici dentystycznej, która dociera do przestrzeni międzyzębowych, gdzie szczoteczka nie jest w stanie usunąć zanieczyszczeń. Uzupełnieniem higieny może być stosowanie płynów do płukania jamy ustnej, które pomagają zredukować ilość bakterii. Pamiętaj, że czyste zęby i zdrowe dziąsła to najlepsza ochrona przed infekcjami.
Przeczytaj również: Ból dziąseł: Szybka ulga, przyczyny i kiedy iść do dentysty
Regularne wizyty kontrolne u stomatologa: najlepsza inwestycja w zdrowie
Nawet najlepsza higiena domowa nie zastąpi regularnych wizyt kontrolnych u stomatologa. Zalecam, aby odwiedzać dentystę co najmniej raz na pół roku, a w przypadku osób z problemami przyzębia nawet częściej. Podczas takiej wizyty stomatolog jest w stanie wcześnie wykryć wszelkie problemy, takie jak początkowa próchnica, stany zapalne dziąseł czy gromadzący się kamień nazębny. Wczesna interwencja pozwala na leczenie tych problemów, zanim rozwiną się w poważne infekcje, takie jak ropień. Regularne profesjonalne czyszczenie zębów (skaling i piaskowanie) również odgrywa kluczową rolę w utrzymaniu zdrowia dziąseł i zapobieganiu chorobom przyzębia. To naprawdę najlepsza inwestycja w Twoje zdrowie i spokój ducha.




