Zapalenie dziąseł to niezwykle powszechny problem, który dotyka znaczną część społeczeństwa, często pozostając niezauważonym na wczesnych etapach. Zrozumienie jego objawów jest absolutnie kluczowe, ponieważ pozwala na szybką interwencję i zapobiega rozwojowi znacznie poważniejszych schorzeń, takich jak parodontoza, która może prowadzić nawet do utraty zębów.
Zapalenie dziąseł: kluczowe objawy i co oznaczają dla Twojego zdrowia
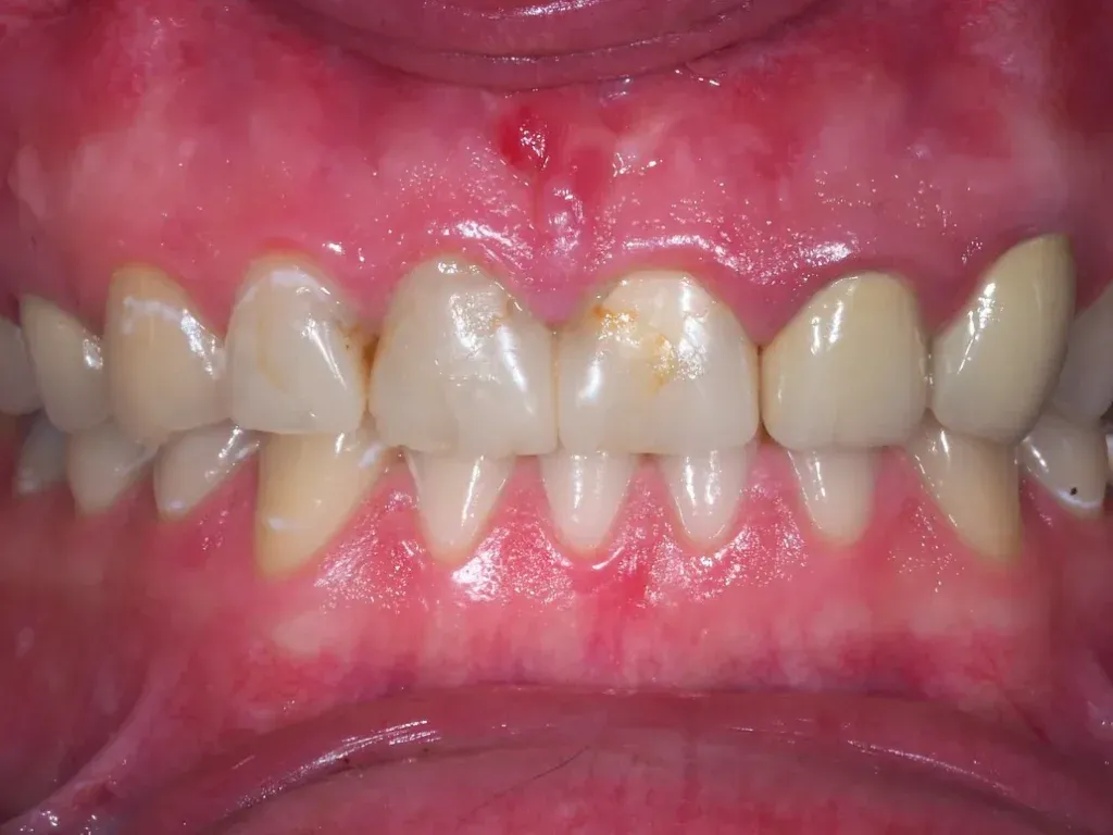
- Zapalenie dziąseł najczęściej objawia się krwawieniem podczas szczotkowania, zaczerwienieniem, obrzękiem oraz tkliwością dziąseł.
- Mniej oczywiste symptomy to nieświeży oddech, nieprzyjemny posmak w ustach, zmiana koloru dziąseł na ciemniejszy oraz ich cofanie się.
- Główną przyczyną jest płytka bakteryjna i kamień nazębny, wynikające z niedostatecznej higieny jamy ustnej.
- Nieleczone zapalenie dziąseł może prowadzić do parodontozy nieodwracalnej choroby, która skutkuje utratą zębów.
- Czynniki ryzyka obejmują palenie papierosów, cukrzycę, zmiany hormonalne i niedobory witamin.
- Wczesna diagnoza i profesjonalna higienizacja są kluczowe dla odwrócenia stanu zapalnego i zapobiegania jego progresji.

Czy Twoje dziąsła wysyłają sygnały SOS? Zignorowanie ich to duży błąd
Nasze dziąsła są jak strażnicy zdrowia jamy ustnej kiedy coś jest nie tak, wysyłają wyraźne sygnały. Niestety, zbyt często je ignorujemy, bagatelizując drobne dolegliwości. To duży błąd, ponieważ te wczesne ostrzeżenia mogą uchronić nas przed poważnymi konsekwencjami, takimi jak przewlekłe stany zapalne czy nawet utrata zębów. Warto nauczyć się je rozpoznawać i odpowiednio reagować.Zaczerwienienie i obrzęk pierwszy widoczny alarm
Jednymi z pierwszych i najbardziej widocznych objawów zapalenia dziąseł są ich zaczerwienienie i obrzęk. Zauważysz, że zdrowe, bladoróżowe dziąsła zmieniają swój kolor na jasnoczerwony, a nawet fioletowy. Stają się również spuchnięte i powiększone, co jest wyraźnym sygnałem toczącego się stanu zapalnego. To reakcja tkanek na obecność bakterii i toksyn, które podrażniają delikatną błonę śluzową.Krwawienie podczas szczotkowania dlaczego to nie jest normalne?
Jeśli Twoje dziąsła krwawią podczas codziennego szczotkowania zębów, nitkowania, a nawet jedzenia twardych pokarmów, to jest to absolutnie kluczowy sygnał alarmowy. Wiele osób myśli, że to normalne, zwłaszcza przy mocniejszym szczotkowaniu, ale to mit! Zdrowe dziąsła nie krwawią. Krwawienie jest oznaką stanu zapalnego i uszkodzenia naczyń krwionośnych w dziąsłach. Nigdy nie powinno być ignorowane, ponieważ świadczy o problemie, który wymaga uwagi.
Ból, tkliwość i nadwrażliwość kiedy dziąsła reagują na dotyk i temperaturę?
Zapalenie dziąseł często objawia się również bólem, tkliwością i nadwrażliwością. Dziąsła mogą być bolesne przy dotyku, a nawet podczas spożywania pokarmów. Czasami pojawia się również nadwrażliwość na zmiany temperatury zimne lub gorące napoje czy jedzenie mogą wywoływać nieprzyjemne doznania. To wszystko są sygnały, że tkanki dziąsłowe są podrażnione i wymagają leczenia.
Ukryte objawy, które łatwo przeoczyć sprawdź, czy dotyczą Ciebie
Oprócz tych najbardziej oczywistych symptomów, zapalenie dziąseł może manifestować się w sposób bardziej subtelny, co sprawia, że łatwo je przeoczyć. Te mniej oczywiste sygnały są jednak równie ważne, a ich wczesne rozpoznanie może zapobiec dalszemu rozwojowi choroby. Przyjrzyjmy się im bliżej.
Nieświeży oddech (halitoza) więcej niż problem estetyczny
Uporczywy nieświeży oddech, czyli halitoza, to często niedoceniany objaw zapalenia dziąseł. Wiele osób traktuje go jedynie jako problem estetyczny, próbując maskować go gumami do żucia czy płynami do płukania ust. Prawda jest taka, że halitoza w wielu przypadkach ma swoje źródło w jamie ustnej, a konkretnie w aktywności bakterii beztlenowych, które rozwijają się w stanach zapalnych dziąseł i produkują lotne związki siarki odpowiedzialne za nieprzyjemny zapach.
Nieprzyjemny posmak w ustach skąd się bierze?
Podobnie jak nieświeży oddech, nieprzyjemny posmak w ustach to kolejny symptom, który często jest ignorowany. Może to być metaliczny, gorzki lub po prostu dziwny posmak, który utrzymuje się pomimo regularnego szczotkowania. Jest on związany z obecnością bakterii i produktów ich metabolizmu, a także z procesami zapalnymi toczącymi się w dziąsłach. Jeśli odczuwasz go regularnie, warto skonsultować się ze stomatologiem.
Zmiana koloru i kształtu dziąseł od różu po fiolet
Jak już wspomniałam, zdrowe dziąsła mają bladoróżowy kolor. W przypadku zapalenia, ich barwa może zmieniać się od jasnoczerwonej, przez ciemnoczerwoną, aż po fioletową. Dodatkowo, zmienia się ich kształt zamiast przylegać ściśle do zębów, stają się obrzęknięte, zaokrąglone na brzegach i mogą wyglądać na "napompowane". To wyraźny wskaźnik, że coś jest nie tak z ich kondycją.
Cofanie się dziąseł (recesja) czy Twoje zęby nagle stały się "dłuższe"?
Cofanie się dziąseł, czyli recesja, to bardziej zaawansowany objaw, który może świadczyć o długotrwałym stanie zapalnym lub nieprawidłowej technice szczotkowania. W wyniku recesji, dziąsła odsłaniają szyjki i korzenie zębów, przez co zęby wydają się dłuższe. Odsłonięte korzenie są bardziej narażone na próchnicę i nadwrażliwość na zmiany temperatury. To sygnał, że choroba postępuje i wymaga natychmiastowej interwencji.
Dlaczego właśnie ja? Główne przyczyny stanu zapalnego dziąseł
Zapalenie dziąseł nie pojawia się bez powodu. Zawsze ma swoje konkretne przyczyny, a ich zrozumienie jest podstawą skutecznej profilaktyki i leczenia. W większości przypadków winowajcą jest coś, co możemy kontrolować. Przyjrzyjmy się najczęstszym źródłom problemu.
Płytka bakteryjna cichy winowajca numer jeden
Bezpośrednią i najczęstszą przyczyną zapalenia dziąseł jest płytka nazębna, czyli biofilm bakteryjny. To lepka, bezbarwna warstwa, która nieustannie gromadzi się na powierzchni zębów, zwłaszcza wzdłuż linii dziąseł. Jeśli nie jest regularnie usuwana poprzez szczotkowanie i nitkowanie, bakterie w niej zawarte produkują toksyny, które podrażniają dziąsła, prowadząc do stanu zapalnego. To cichy, ale bardzo skuteczny winowajca.
Kamień nazębny utwardzony problem, który podrażnia tkanki
Jeśli płytka nazębna nie zostanie usunięta, z czasem ulega mineralizacji pod wpływem składników śliny i zamienia się w twardy kamień nazębny. Kamień jest szorstki i porowaty, co stanowi idealne środowisko dla dalszego namnażania się bakterii. Dodatkowo, jego twarda struktura mechanicznie podrażnia dziąsła, pogłębiając stan zapalny. Co ważne, kamienia nazębnego nie da się usunąć domowymi metodami wymaga profesjonalnego skalingu w gabinecie stomatologicznym.
Niedostateczna higiena najczęstsze błędy popełniane przy myciu zębów
Niedostateczna higiena jamy ustnej to główna droga do gromadzenia się płytki i kamienia nazębnego. Często wydaje nam się, że myjemy zęby prawidłowo, ale w rzeczywistości popełniamy błędy, które uniemożliwiają skuteczne usunięcie wszystkich osadów. Oto najczęstsze z nich:- Zbyt krótkie szczotkowanie: Wiele osób szczotkuje zęby krócej niż zalecane 2 minuty.
- Nieprawidłowa technika: Zamiast delikatnych ruchów wymiatających, często stosujemy zbyt mocne szorowanie, które podrażnia dziąsła i nie usuwa płytki efektywnie.
- Pomijanie nitkowania: Nitkowanie jest niezbędne do usunięcia płytki z przestrzeni międzyzębowych, gdzie szczoteczka nie dociera.
- Nieregularne szczotkowanie: Mycie zębów tylko raz dziennie lub sporadycznie to za mało, by zapobiec gromadzeniu się płytki.
- Niewłaściwy wybór szczoteczki: Zbyt twarda szczoteczka może podrażniać dziąsła, a zbyt miękka nie zawsze skutecznie usuwa płytkę.
Kto jest w grupie podwyższonego ryzyka? Czynniki, które potęgują problem
Chociaż płytka nazębna jest główną przyczyną zapalenia dziąseł, istnieją czynniki, które mogą zwiększać naszą podatność na ten problem, nawet przy względnie dobrej higienie. Niektóre z nich są związane z naszym stylem życia, inne z ogólnym stanem zdrowia. Warto wiedzieć, kto jest w grupie ryzyka, aby podjąć odpowiednie środki zapobiegawcze.
Palenie papierosów a zdrowie dziąseł toksyczny związek
Palenie papierosów to jeden z najgroźniejszych czynników ryzyka dla zdrowia dziąseł. Toksyny zawarte w dymie tytoniowym osłabiają układ odpornościowy, zmniejszają przepływ krwi do dziąseł i upośledzają ich zdolność do regeneracji. Palacze są znacznie bardziej narażeni na rozwój zapalenia dziąseł i parodontozy, a co gorsza, palenie może maskować typowe objawy, takie jak krwawienie, przez co choroba jest wykrywana w bardziej zaawansowanym stadium. Leczenie u palaczy jest również trudniejsze i mniej skuteczne.
Zmiany hormonalne dlaczego kobiety w ciąży i nastolatki muszą być czujne?
Zmiany hormonalne mają znaczący wpływ na kondycję dziąseł, czyniąc je bardziej podatnymi na stany zapalne. Dotyczy to szczególnie okresu dojrzewania, ciąży i menopauzy. U kobiet w ciąży, wzrost poziomu progesteronu powoduje, że dziąsła stają się bardziej wrażliwe, obrzęknięte i skłonne do krwawień to tak zwane ciążowe zapalenie dziąseł. Nieleczone zapalenie dziąseł w ciąży jest szczególnie niebezpieczne, ponieważ może zwiększać ryzyko przedwczesnego porodu i niskiej masy urodzeniowej dziecka. Dlatego przyszłe mamy powinny być wyjątkowo czujne i dbać o higienę jamy ustnej.
Cukrzyca, stres i inne choroby ogólnoustrojowe jak wpływają na jamę ustną?
- Cukrzyca: Osoby z cukrzycą mają osłabioną odporność i gorszą zdolność do zwalczania infekcji, co zwiększa ryzyko zapalenia dziąseł i pogarsza przebieg choroby przyzębia.
- Stres: Przewlekły stres osłabia układ odpornościowy, czyniąc organizm bardziej podatnym na stany zapalne, w tym te w jamie ustnej.
- Osłabienie odporności: Choroby autoimmunologiczne, infekcje wirusowe (np. HIV) czy leczenie immunosupresyjne mogą znacząco zwiększyć ryzyko problemów z dziąsłami.
- Niektóre leki: Przyjmowanie leków przeciwpadaczkowych, immunosupresyjnych czy niektórych leków na nadciśnienie może prowadzić do przerostu dziąseł, co utrudnia higienę i sprzyja stanom zapalnym.
Wpływ diety i niedoborów witaminowych na kondycję dziąseł
Odpowiednia dieta ma ogromne znaczenie dla zdrowia całego organizmu, w tym jamy ustnej. Niedobory witamin, zwłaszcza witaminy C i D, mogą negatywnie wpływać na kondycję dziąseł. Witamina C jest niezbędna do produkcji kolagenu, który buduje tkanki dziąseł, a jej brak może prowadzić do osłabienia i krwawienia. Witamina D wspiera zdrowie kości i odporność. Dlatego zbilansowana dieta, bogata w warzywa, owoce i produkty pełnoziarniste, jest kluczowa dla utrzymania zdrowych dziąseł.
Od zapalenia dziąseł do parodontozy cienka czerwona linia, której nie chcesz przekroczyć
Nieleczone zapalenie dziąseł to nie tylko chwilowy dyskomfort. To cienka czerwona linia, której przekroczenie prowadzi do znacznie poważniejszych i niestety nieodwracalnych konsekwencji. Ważne jest, aby zrozumieć różnicę między odwracalnym stanem zapalnym a postępującą chorobą, aby wiedzieć, kiedy interwencja jest absolutnie niezbędna.
Czym różni się odwracalne zapalenie od nieodwracalnej parodontozy?
Kluczowa różnica między zapaleniem dziąseł (gingivitis) a parodontozą (periodontitis) polega na tym, że zapalenie dziąseł jest stanem odwracalnym. Oznacza to, że przy odpowiedniej higienie i profesjonalnym leczeniu, dziąsła mogą wrócić do pełnego zdrowia. W tym stadium nie dochodzi jeszcze do utraty przyczepu łącznotkankowego ani kości, która utrzymuje zęby w zębodołach. Parodontoza natomiast to choroba nieodwracalna, która atakuje głębsze struktury przyzębia, w tym kość i więzadła, prowadząc do ich zniszczenia. Niestety, raz utracone tkanki nie regenerują się samoistnie.
Kieszonki dziąsłowe i ruchomość zębów objawy zaawansowanego stadium
Jeśli zapalenie dziąseł przejdzie w parodontozę, pojawiają się nowe, znacznie poważniejsze objawy. Jednym z nich są kieszonki dziąsłowe przestrzenie między dziąsłem a zębem, które pogłębiają się w miarę niszczenia kości. W tych kieszonkach gromadzą się bakterie i kamień, co jeszcze bardziej potęguje stan zapalny. W zaawansowanym stadium parodontozy, gdy kość jest już znacznie zniszczona, może pojawić się ruchomość zębów. To bardzo niepokojący sygnał, wskazujący na to, że ząb traci swoje stabilne umocowanie i grozi mu utrata.
Dlaczego nieleczone zapalenie dziąseł prowadzi do utraty zębów?
Mechanizm jest prosty i brutalny. Nieleczone zapalenie dziąseł, wywołane przez bakterie w płytce i kamieniu, prowadzi do przewlekłego stanu zapalnego. Ten stan zapalny, zamiast ograniczać się do dziąseł, zaczyna atakować głębsze struktury więzadła ozębnej i kość wyrostka zębodołowego. Organizm, próbując zwalczyć infekcję, paradoksalnie niszczy własne tkanki. Stopniowo dochodzi do zaniku kości wokół zębów, co prowadzi do pogłębiania się kieszonek, osłabienia ich umocowania, a w konsekwencji do ich ruchomości i ostatecznie utraty. Dlatego tak ważne jest wczesne leczenie i przerwanie tego błędnego koła.
Twoje objawy wymagają uwagi co robić krok po kroku?
Zauważyłaś u siebie niepokojące objawy? Nie panikuj, ale też nie zwlekaj! Kluczem do sukcesu jest szybka reakcja i podjęcie konkretnych działań. Pamiętaj, że wczesna interwencja może całkowicie odwrócić zapalenie dziąseł i uchronić Cię przed poważniejszymi problemami. Oto, co możesz zrobić.
Samodzielna obserwacja jak ocenić stan swoich dziąseł w domu?
- Regularnie kontroluj kolor: Czy Twoje dziąsła są bladoróżowe, czy może zaczerwienione, a nawet fioletowe?
- Sprawdzaj obrzęki: Czy dziąsła są spuchnięte, czy ściśle przylegają do zębów?
- Obserwuj krwawienie: Czy krwawią podczas szczotkowania, nitkowania, a może spontanicznie? Nawet niewielkie krwawienie to sygnał alarmowy.
- Zwróć uwagę na ból i tkliwość: Czy dziąsła bolą przy dotyku, czy reagują na zimne/gorące?
- Kontroluj oddech i smak: Czy masz uporczywy nieświeży oddech lub nieprzyjemny posmak w ustach?
Kiedy wizyta u stomatologa jest absolutnie konieczna?
- Uporczywe krwawienie dziąseł, które nie ustępuje po kilku dniach poprawionej higieny.
- Silny ból dziąseł lub zębów.
- Widoczny obrzęk dziąseł, ropne wycieki.
- Podejrzenie recesji dziąseł (zęby wydają się dłuższe).
- Ruchomość jednego lub więcej zębów.
- Nieświeży oddech lub nieprzyjemny posmak w ustach, który utrzymuje się pomimo higieny.
- Brak poprawy stanu dziąseł pomimo wprowadzenia prawidłowej higieny domowej.
- Jeśli jesteś w ciąży i zauważysz jakiekolwiek objawy zapalenia dziąseł.
Przeczytaj również: Krwawiące dziąsła: przyczyny, domowe sposoby i kiedy do dentysty?
Jak wygląda profesjonalna diagnoza i leczenie w gabinecie?
Kiedy zgłosisz się do stomatologa z podejrzeniem zapalenia dziąseł, lekarz przeprowadzi dokładną diagnozę. Obejmuje ona ocenę kliniczną dziąseł (kolor, obrzęk, krwawienie) oraz pomiar głębokości kieszonek dziąsłowych za pomocą specjalnej sondy. Na podstawie tych badań stomatolog postawi diagnozę i zaplanuje leczenie. W większości przypadków leczenie zapalenia dziąseł polega przede wszystkim na usunięciu jego głównej przyczyny płytki i kamienia nazębnego. Proces ten wygląda następująco:
- Profesjonalna higienizacja (skaling i piaskowanie): Stomatolog lub higienistka stomatologiczna usunie kamień nazębny (skaling) oraz osady i przebarwienia (piaskowanie) z powierzchni zębów i spod dziąseł.
- Instruktaż higieny: Otrzymasz szczegółowe wskazówki dotyczące prawidłowej techniki szczotkowania zębów, używania nici dentystycznych, szczoteczek międzyzębowych i płynów do płukania ust. To kluczowy element leczenia, ponieważ bez Twojego zaangażowania w codzienną higienę, problem będzie nawracał.
- Kontrole: Po zabiegu konieczne są wizyty kontrolne, aby ocenić efekty leczenia i upewnić się, że dziąsła wracają do zdrowia.




