
Wybierz idealny irygator! Poznaj rodzaje, parametry i końcówki. Poradnik pomoże Ci zadbać o zdrowy uśmiech. Sprawdź teraz!
Nazywam się Natalia Lewandowska i od ponad 10 lat zajmuję się tematyką zdrowia, ze szczególnym uwzględnieniem stomatologii. Posiadam dyplom lekarza stomatologa oraz liczne certyfikaty potwierdzające moje umiejętności w zakresie nowoczesnych metod leczenia i profilaktyki. Moje doświadczenie zdobywałam pracując w renomowanych klinikach, gdzie miałam okazję nie tylko leczyć pacjentów, ale także prowadzić szkolenia dla młodszych kolegów. Specjalizuję się w zagadnieniach związanych z higieną jamy ustnej oraz nowinkami w stomatologii estetycznej. Wierzę, że zdrowy uśmiech jest kluczem do dobrego samopoczucia, dlatego staram się przekazywać informacje w sposób przystępny i zrozumiały, aby każdy mógł zadbać o swoje zdrowie. Moim celem jest nie tylko dzielenie się wiedzą, ale także inspirowanie innych do podejmowania świadomych decyzji dotyczących zdrowia. Pisząc dla stomatologia-natadent.pl, dążę do dostarczania rzetelnych i aktualnych informacji, które pomogą czytelnikom w lepszym zrozumieniu zagadnień stomatologicznych. Zależy mi na budowaniu zaufania i świadomości w społeczeństwie, ponieważ wierzę, że każdy zasługuje na dostęp do wysokiej jakości informacji zdrowotnych.

Wybierz idealny irygator! Poznaj rodzaje, parametry i końcówki. Poradnik pomoże Ci zadbać o zdrowy uśmiech. Sprawdź teraz!

Masz drętwienie po znieczuleniu stomatologicznym? Poznaj 5 bezpiecznych metod, by szybko odzyskać czucie. Sprawdź, czego unikać i kiedy iść do dentysty.

Szukasz leków na gorączkę? Dowiedz się, kiedy wybrać paracetamol, a kiedy ibuprofen. Poznaj dawkowanie i bezpieczne metody. Sprawdź nasz przewodnik!

Brak leków na receptę? Dowiedz się, jak legalnie i szybko zdobyć e-receptę online. Poznaj bezpieczne alternatywy i uniknij ryzyka.

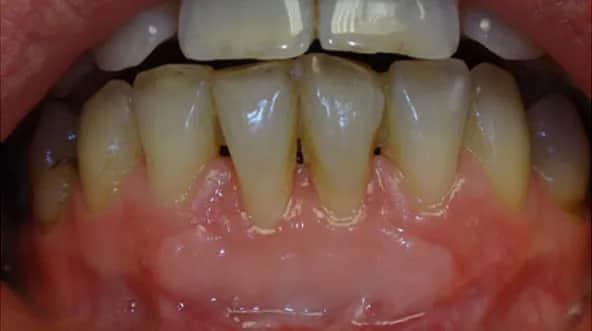
Czy dziąsła odrastają? Dowiedz się, dlaczego recesja jest nieodwracalna i poznaj skuteczne metody leczenia oraz domowe sposoby na zatrzymanie problemu.

Masz zapalenie jamy ustnej? Odkryj skuteczne domowe sposoby, leki bez recepty i dowiedz się, kiedy wizyta u lekarza jest konieczna. Sprawdź nasz poradnik!

Dowiedz się, jak długo działa znieczulenie stomatologiczne (2-4h). Poznaj czynniki wpływające na czas działania i jak bezpiecznie postępować po zabiegu.

Dowiedz się, czy dentysta może wystawić zwolnienie lekarskie L4. Poznaj przypadki, zasady i procedurę jego uzyskania. Sprawdź teraz!

Zobacz, jak wyglądają dziąsła przy ząbkowaniu: zaczerwienienie, opuchlizna, białe plamki i krwiaki. Poznaj inne objawy i skuteczne sposoby na ulgę dla dziecka.

Dowiedz się, ile działa znieczulenie od dentysty (2-4h). Poznaj czynniki wpływające na czas i praktyczne wskazówki po zabiegu.