Zastanawiasz się, czy Twoje dziąsła są zdrowe? To pytanie, które zadaje sobie wielu z nas, często dopiero wtedy, gdy zauważymy niepokojące sygnały. W tym artykule pokażę Ci, jak krok po kroku ocenić kondycję swoich dziąseł, wskazując na kluczowe cechy zdrowego uśmiechu oraz objawy, których nigdy nie należy ignorować.
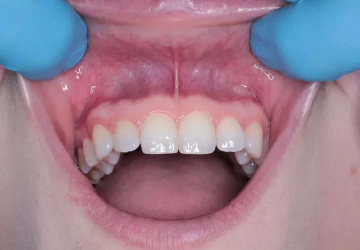
Zdrowe dziąsła rozpoznasz po ich bladoróżowym kolorze, zwartej strukturze i braku krwawienia.
- Zdrowe dziąsła mają charakterystyczny bladoróżowy, koralowy kolor, choć u niektórych osób mogą występować naturalne, ciemniejsze przebarwienia.
- Ich struktura jest zwarta i "kropkowana", przypominająca skórkę pomarańczy, a linia dziąseł jest równa i falista.
- Są twarde, sprężyste i mocno przylegają do zębów, a brodawki dziąsłowe szczelnie wypełniają przestrzenie międzyzębowe.
- Kluczową cechą jest całkowity brak krwawienia podczas szczotkowania, nitkowania czy jedzenia.
- Brak bólu, obrzęku, opuchlizny czy odsłoniętych szyjek zębowych to również wskaźniki zdrowia dziąseł.

Jak rozpoznać zdrowe dziąsła? Kluczowe cechy
Dlaczego wygląd dziąseł jest lustrem zdrowia całej jamy ustnej?
Dziąsła to coś więcej niż tylko oprawa dla naszych zębów są one barometrem zdrowia całej jamy ustnej, a często i sygnałem kondycji ogólnego stanu organizmu. Z mojego doświadczenia wynika, że wiele osób bagatelizuje ich znaczenie, skupiając się głównie na zębach. Niestety, badania epidemiologiczne w Polsce jasno pokazują, że problemy z dziąsłami, od łagodnych stanów zapalnych po zaawansowaną paradontozę, dotykają znaczący odsetek dorosłych. Wczesne rozpoznanie objawów i zrozumienie, jak powinny wyglądać zdrowe dziąsła, jest kluczowe, aby zapobiec poważniejszym konsekwencjom.
Zaskakujący fakt: zdrowe dziąsła nie zawsze są idealnie różowe
Kiedy myślę o zdrowych dziąsłach, zazwyczaj wyobrażam sobie bladoróżowy, koralowy odcień. I faktycznie, to jest najbardziej typowy kolor. Jednak warto wiedzieć, że natura bywa różnorodna. U osób o ciemniejszej karnacji, ze względu na większą zawartość melaniny, dziąsła mogą mieć naturalne, ciemniejsze przebarwienia od brązowych po niemal czarne. To zjawisko jest całkowicie fizjologiczne i nie świadczy o chorobie, co często uspokaja moich pacjentów.
Sprawdź kondycję swoich dziąseł w 4 prostych krokach
Chcesz samodzielnie ocenić stan swoich dziąseł? To prostsze, niż myślisz! Przygotowałam dla Ciebie cztery kroki, które pomogą Ci przyjrzeć się im uważnie i zrozumieć, co jest normą, a co powinno wzbudzić Twój niepokój.
Krok 1: Kolor od koralowego różu po naturalne przebarwienia
Jak już wspomniałam, zdrowe dziąsła mają piękny, bladoróżowy, koralowy kolor. Pamiętaj jednak o naturalnych, fizjologicznych przebarwieniach u osób z ciemniejszą karnacją. Co powinno Cię zaniepokoić? Jeśli zauważysz, że Twoje dziąsła stają się czerwone, sine lub fioletowe, to jest to wyraźny sygnał stanu zapalnego. Taka zmiana koloru jest jedną z pierwszych oznak, że coś dzieje się nie tak.
Krok 2: Kształt i linia czy dziąsło idealnie otula każdy ząb?
Przyjrzyj się, jak dziąsła układają się wokół zębów. W idealnym scenariuszu powinny tworzyć równą, falistą linię, która szczelnie otula każdy ząb. Bardzo ważne są też brodawki dziąsłowe te małe fragmenty dziąsła, które wypełniają przestrzenie między zębami. Powinny być ostre, trójkątne i szczelnie wypełniać te przestrzenie, bez widocznych szpar. Brak tej szczelności to często początek problemów.
Krok 3: Struktura i konsystencja efekt "skórki pomarańczy"
Dotknij delikatnie swoich dziąseł. Jakie są w dotyku? Zdrowe dziąsła powinny być twarde, sprężyste i mocno przylegać do zębów oraz kości. Ich powierzchnia często ma charakterystyczną, zwartą, "kropkowaną" strukturę, przypominającą skórkę pomarańczy. Jeśli zauważysz, że są opuchnięte, obrzmiałe, miękkie w dotyku lub mają gładką, błyszczącą powierzchnię, to jest to sygnał, że prawdopodobnie masz do czynienia ze stanem zapalnym.
Krok 4: Test szczoteczki zero krwi to absolutna podstawa
To jest chyba najważniejszy i najbardziej jednoznaczny test. Podczas codziennego szczotkowania zębów, nitkowania czy nawet jedzenia twardych pokarmów, Twoje dziąsła absolutnie nie powinny krwawić. Wiele osób uważa, że 'trochę krwi to nic takiego' nic bardziej mylnego! Nawet niewielkie krwawienie jest sygnałem ostrzegawczym i wskazuje na stan zapalny dziąseł. To sygnał, którego nigdy nie należy ignorować.

5 sygnałów ostrzegawczych, których nie możesz ignorować
Jeśli po przeprowadzeniu 'testu w 4 krokach' zauważyłeś u siebie coś niepokojącego, to ta sekcja jest dla Ciebie. Przedstawię Ci pięć kluczowych sygnałów, które powinny skłonić Cię do wizyty u stomatologa. Pamiętaj, że wczesna reakcja to podstawa skutecznego leczenia.
Zmiana koloru na czerwony lub siny pierwszy objaw zapalenia
Jak już wspomniałam, zdrowy kolor dziąseł to bladoróżowy. Jeśli zauważysz, że Twoje dziąsła stają się jaskrawoczerwone, sine, a nawet fioletowe, to jest to niemal pewny znak, że rozwinął się stan zapalny. Ta zmiana koloru jest często pierwszym i najbardziej widocznym sygnałem problemu.
Opuchlizna i obrzęk co próbują Ci powiedzieć Twoje dziąsła?
W przeciwieństwie do zwartych i sprężystych zdrowych dziąseł, te objęte stanem zapalnym często stają się opuchnięte i obrzmiałe. Mogą sprawiać wrażenie 'napompowanych' i być miękkie w dotyku. To sygnał, że w tkankach gromadzi się płyn, co jest typową reakcją na infekcję.
Krwawienie podczas szczotkowania lub nitkowania to nie jest norma
Powtórzę to jeszcze raz, bo to kluczowe: krwawienie dziąseł podczas jakiejkolwiek czynności higienicznej nie jest normalne. Niezależnie od tego, czy to krew na szczoteczce, nitce dentystycznej, czy nawet podczas jedzenia jabłka to zawsze jest sygnał alarmowy. Nie ignoruj go, myśląc, że to 'tylko' dziąsła.
Bolesność lub nadwrażliwość kiedy dotyk staje się problemem
Zdrowe dziąsła nie bolą. Jeśli odczuwasz ból, pieczenie, swędzenie lub nadwrażliwość dziąseł, zwłaszcza podczas jedzenia, picia czy szczotkowania, to jest to wyraźny znak, że coś jest nie tak. Ból może utrudniać prawidłową higienę, co z kolei pogarsza stan dziąseł, tworząc błędne koło.
Odsłonięte szyjki zębowe cichy sygnał postępującej recesji
Odsłonięte szyjki zębowe, czyli tak zwana recesja dziąseł, to bardzo poważny sygnał. Oznacza to, że dziąsło cofnęło się, odsłaniając część korzenia zęba. To nie tylko problem estetyczny czy nadwrażliwość na zimno, ale przede wszystkim objaw postępującej choroby przyzębia (paradontozy), która może prowadzić nawet do utraty zębów. W mojej praktyce zawsze zwracam na to szczególną uwagę.
Co niszczy Twoje dziąsła? Najwięksi wrogowie zdrowego uśmiechu
Zrozumienie, co szkodzi naszym dziąsłom, jest pierwszym krokiem do ich ochrony. Poznajmy największych wrogów zdrowego uśmiechu, aby świadomie unikać pułapek.
Płytka bakteryjna i kamień nazębny cisi zabójcy zdrowych dziąseł
Zdecydowanie najczęstszą przyczyną problemów z dziąsłami jest niewłaściwa higiena jamy ustnej. Prowadzi ona do nagromadzenia płytki bakteryjnej miękkiego nalotu pełnego bakterii. Jeśli płytka nie jest regularnie usuwana, z czasem twardnieje, tworząc kamień nazębny. Zarówno płytka, jak i kamień, są siedliskiem bakterii, które produkują toksyny, wywołując stan zapalny dziąseł, a w konsekwencji paradontozę. To cisi zabójcy, którzy działają powoli, ale skutecznie.
Wpływ palenia papierosów, cukrzycy i zmian hormonalnych
- Palenie papierosów: To jeden z najgroźniejszych czynników ryzyka. Palenie nie tylko maskuje objawy zapalenia dziąseł (np. krwawienie), ale także znacznie osłabia odporność dziąseł i spowalnia gojenie.
- Cukrzyca: Osoby z niekontrolowaną cukrzycą są znacznie bardziej podatne na choroby dziąseł, a choroby dziąseł mogą z kolei utrudniać kontrolę poziomu cukru we krwi. To dwukierunkowa zależność.
- Zmiany hormonalne: Okresy takie jak ciąża, dojrzewanie czy menopauza mogą wpływać na wrażliwość dziąseł, czyniąc je bardziej podatnymi na stany zapalne.
- Niektóre leki: Pewne medykamenty, np. leki na nadciśnienie czy padaczkę, mogą powodować przerost dziąseł, co utrudnia higienę i sprzyja zapaleniom.
- Predyspozycje genetyczne: Niestety, u niektórych osób skłonność do chorób dziąseł jest dziedziczna. Nie oznacza to jednak, że jesteśmy bezradni odpowiednia profilaktyka jest wtedy jeszcze ważniejsza.
Choroby ogólnoustrojowe a zdrowie dziąseł o czym musisz wiedzieć?
Warto pamiętać, że jama ustna to część całego organizmu. Choroby ogólnoustrojowe, takie jak wspomniana cukrzyca, ale także choroby serca czy osteoporoza, mają znaczący wpływ na zdrowie dziąseł. Z drugiej strony, przewlekłe stany zapalne w jamie ustnej mogą negatywnie oddziaływać na cały organizm, zwiększając ryzyko innych schorzeń. To pokazuje, jak ważne jest holistyczne podejście do zdrowia i regularna komunikacja z lekarzem stomatologiem.
Jak utrzymać dziąsła w idealnym zdrowiu? Proste zasady
Skoro już wiesz, jak rozpoznać zdrowe dziąsła i co im szkodzi, czas na konkretne wskazówki, jak o nie dbać. To naprawdę nie jest skomplikowane, a efekty są nie do przecenienia!
Prawidłowa technika szczotkowania i nitkowania fundament profilaktyki
Podstawa to codzienna, prawidłowa higiena. Nie wystarczy po prostu 'szczotkować zęby'. Musisz używać odpowiedniej techniki szczotkowania (np. technika wymiatająca) i pamiętać o dokładnym czyszczeniu przestrzeni międzyzębowych za pomocą nici dentystycznej lub szczoteczek międzyzębowych. To właśnie w tych miejscach najczęściej gromadzi się płytka bakteryjna, która inicjuje problemy z dziąsłami. Poświęć na to odpowiednio dużo czasu przynajmniej dwie minuty, dwa razy dziennie.
Rola płynów do płukania jamy ustnej i irygatorów
Płyny do płukania jamy ustnej i irygatory mogą być doskonałym uzupełnieniem codziennej higieny, ale nigdy jej nie zastąpią. Płyny antybakteryjne pomagają redukować ilość bakterii, a irygatory skutecznie wypłukują resztki pokarmowe i luźną płytkę nazębną z trudno dostępnych miejsc. Pamiętaj jednak, aby wybierać produkty odpowiednie dla siebie i stosować je zgodnie z zaleceniami, najlepiej po konsultacji ze stomatologiem.
Profesjonalna higienizacja w gabinecie dlaczego jest niezbędna?
Nawet przy najlepszej domowej higienie, zawsze pozostają miejsca, do których trudno dotrzeć. Dlatego regularne wizyty u stomatologa i profesjonalna higienizacja są absolutnie niezbędne. Stomatolog lub higienistka usunie kamień nazębny, którego nie da się usunąć szczoteczką, oraz profesjonalnie oczyści zęby. Zalecam takie zabiegi co najmniej raz na 6-12 miesięcy, w zależności od indywidualnych potrzeb i skłonności do odkładania się kamienia.
Kiedy wizyta u dentysty jest absolutnie konieczna?
Nie czekaj, aż będzie za późno! Jeśli zauważysz u siebie którykolwiek z poniższych objawów, niezwłocznie umów się na wizytę u stomatologa. Wczesna interwencja może zapobiec poważnym problemom i uratować Twój uśmiech.
Przeczytaj również: Krwawienie po wyrwaniu zęba: ile trwa i kiedy szukać pomocy?
Jakie objawy powinny skłonić Cię do natychmiastowego działania?
- Krwawienie dziąseł podczas szczotkowania, nitkowania lub jedzenia.
- Ból, tkliwość lub nadwrażliwość dziąseł.
- Opuchlizna, obrzęk lub zaczerwienienie dziąseł.
- Odsłonięte szyjki zębowe lub wrażenie, że zęby stały się 'dłuższe'.
- Nieświeży oddech, który utrzymuje się pomimo regularnej higieny.
- Ruchomość zębów to już bardzo zaawansowany objaw, wymagający natychmiastowej interwencji.




